肝癌治疗新视角! 中山大学团队破解肝癌耐药难题:双重靶点让索拉非尼重获新生
| 导读 | 肝细胞癌(HCC)的进展和治疗敏感性在很大程度上受肝癌干细胞(LCSCs)的驱动,然而circRNAs对 LCSCs 的调控机制仍不清楚。 |
8月13日,中山大学研究团队在期刊《Advanced Science》上发表了研究论文,题为“m6A-Modified circRAPGEF1 Interaction with IGF2BP3 Promotes Hepatocellular Carcinoma Progression via Reprogramming Aspartate Metabolism”,本研究中,研究人员通过环状 RNA 微阵列分析,发现 circRAPGEF1 是一种在肝癌组织中上调且富集于肝癌干细胞的环状 RNA,可预测患者预后不良。功能上,circRAPGEF1 促进了肝癌细胞的干性特征、增殖和致瘤性。尤其是,circRAPGEF1 过表达降低了索拉非尼的敏感性,而使用纳米颗粒介导的系统性 siRNA 传递靶向 circRAPGEF1 则能有效增强肝癌细胞对索拉非尼的敏感性。综上所述,这些发现揭示了一个 METTL3/circRAPGEF1/IGF2BP3/ASS1 调控轴,该轴通过驱动天冬氨酸代谢重编程来促进肝癌干细胞特性,表明 circRAPGEF1 是一个双重预后生物标志物和治疗靶点,可增强索拉非尼在肝癌中的疗效。

https://advanced.onlinelibrary.wiley.com/doi/10.1002/advs.202503851
研究背景
01
原发性肝癌在全球癌症发病率中排名第六,每年相关死亡率排名第三。超过 90% 的原发性肝癌病例表现为肝细胞癌(HCC)。尽管进行了根治性手术,但早期 HCC 在 5 年内的复发率仍高达 70%,而晚期 HCC 对索拉非尼等全身治疗的反应有限,导致总体预后不佳。肝癌干细胞(LCSCs)是异质性 HCC 细胞中的一小部分细胞,具有自我更新和多向分化的能力。在各种干性标志物中,CD133(PROM1)阳性细胞被认为是典型的 LCSCs,与 HCC 的复发和治疗耐药密切相关。因此,揭示 LCSC 干性调节的分子机制可能为 HCC 提供新的治疗途径。
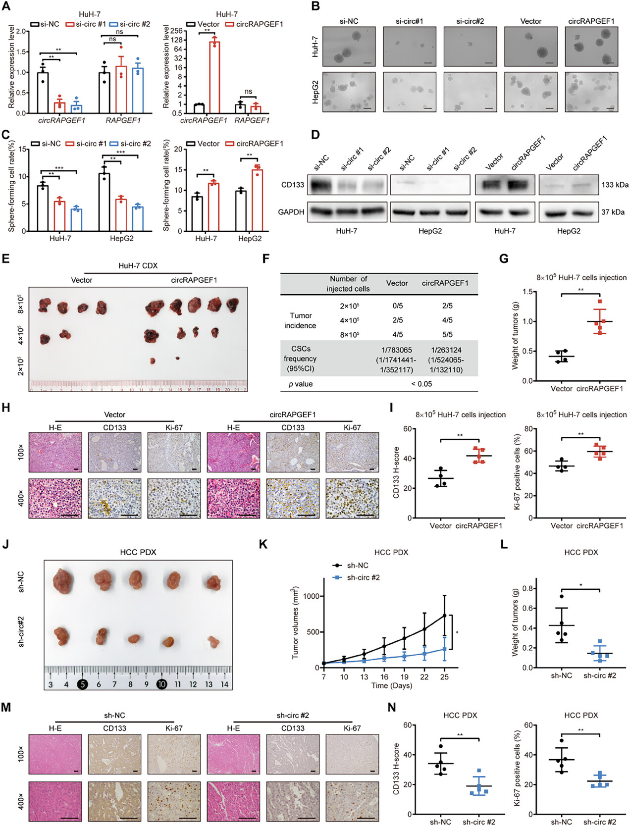
circRAPGEF1 促进肝癌细胞的干性特征和增殖
02
为了阐明circRAPGEF1 的生物学功能,研究人员使用靶向circRAPGEF1 反向剪接位点的 siRNA 特异性敲低 circRAPGEF1,并通过慢病毒转染在 HuH-7 和 HepG2 细胞中过表达 circRAPGEF1。球体形成实验表明,circRAPGEF1 沉默显著减少了球体数量,而 circRAPGEF1 过表达则显著增强了球体形成能力。蛋白质印迹分析显示,circRAPGEF1 调节了肝细胞癌细胞中干性标志物 CD133 的表达水平。为了进一步证明 circRAPGEF1 在肝细胞癌中的致癌潜力,研究人员进行了体内限制稀释实验。结果表明,与对照细胞相比,circRAPGEF1 过表达增加了肝细胞癌干细胞的比例,并促进了肿瘤生长。免疫组化(IHC)分析表明,circRAPGEF1 过表达导致肝细胞癌中 CD133 表达水平升高以及 Ki-67 阳性细胞比例增加。
此外,研究人员发现沉默 circRAPGEF1 显著抑制了肝细胞癌(HCC)细胞的增殖,而过表达 circRAPGEF1 则显著增强了其增殖能力,这一点通过 CCK-8 和集落形成实验得到了证实。EdU 实验表明,沉默 circRAPGEF1 降低了 HCC 细胞中 EdU 阳性细胞的比例,而过表达 circRAPGEF1 则提高了这一比例。为了进一步证实 circRAPGEF1 在 HCC 进展中的关键作用,研究人员建立了肝细胞癌的患者来源异种移植(PDX)模型。向肿瘤内注射靶向 circRAPGEF1 的慢病毒显著抑制了 PDX 肿瘤的生长。免疫组化分析表明,沉默 circRAPGEF1 降低了 CD133 的表达以及 Ki-67 阳性细胞的比例。综上所述,这些结果表明 circRAPGEF1 在体外和体内均促进了 HCC 细胞的干性特征和细胞增殖。

circRAPGEF1 增强肝细胞癌的干性特征和增殖能力
结论
03
总之,本研究在肝细胞癌(HCC)和肝癌干细胞(LCSCs)中鉴定出一种新型环状 RNA(circRNA),即 circRAPGEF1。在 LCSCs 中,circRAPGEF1 通过 METTL3/IGF2BP3 介导的 m6A 修饰机制而上调。这种上调导致 ASS1 mRNA 稳定性降低,从而引发天冬氨酸代谢重编程以及 S6K/CAD 信号通路的激活。METTL3/circRAPGEF1/IGF2BP3/ASS1 轴的激活导致 HCC 细胞干性增强以及预后不良。用纳米颗粒(NPs)靶向 circRAPGEF1 可增强 HCC 细胞对索拉非尼的敏感性。因此,本研究为 HCC 的治疗提供了新的视角。(转化医学网360zhyx.com)
参考资料:
https://advanced.onlinelibrary.wiley.com/doi/10.1002/advs.202503851
【关于投稿】
转化医学网(360zhyx.com)是转化医学核心门户,旨在推动基础研究、临床诊疗和产业的发展,核心内容涵盖组学、检验、免疫、肿瘤、心血管、糖尿病等。如您有最新的研究内容发表,欢迎联系我们进行免费报道(公众号菜单栏-在线客服联系),我们的理念:内容创造价值,转化铸就未来!
转化医学网(360zhyx.com)发布的文章旨在介绍前沿医学研究进展,不能作为治疗方案使用;如需获得健康指导,请至正规医院就诊。
责任声明:本稿件如有错误之处,敬请联系转化医学网客服进行修改事宜!
微信号:zhuanhuayixue
腾讯登录
还没有人评论,赶快抢个沙发