抑制肿瘤生长和血管生成!哈尔滨医科大学揭示肝癌治疗新靶点
| 导读 | 本研究旨在阐明 CLTB 在肝细胞癌(HCC)发病机制中的作用及其临床意义。 |
8月18日,哈尔滨医科大学研究团队在期刊《Advanced Science》上发表了研究论文,题为“Clathrin Light Chain B Drives Hepatocellular Carcinoma Progression Through Dual Mechanisms: Small Extracellular Vesicle-Mediated Angiogenesis and the NF-κB–PCLAF Signaling Axis”,本研究中,临床和生物信息学分析显示,CLTB 在肝细胞癌(HCC)组织中显著过表达。CLTB 基因沉默可抑制 HCC 细胞增殖、迁移和侵袭,而其过表达则会加剧恶性表型。本研究进一步探究了富含 CLTB 的 sEV 在肿瘤血管重塑中的功能意义。sEV-CLTB 通过与 SH3KBP1结合,抑制 SH3KBP1 泛素化降解,从而促进内皮细胞血管生成、破坏血管完整性并诱导肺血管渗漏。本研究证明,CLTB 通过 NF-κB-PCLAF 信号轴和小细胞外囊泡介导的血管重塑促进肝细胞癌进展,为开发靶向CLTB 的联合疗法提供了机制基础。

https://advanced.onlinelibrary.wiley.com/doi/10.1002/advs.202508613
背景知识
01
在恶性肿瘤中,肝癌是临床上最具挑战性的实体瘤之一,对全球公众健康构成严重威胁。约 90% 的肝癌病例为肝细胞癌(HCC),其特征为丰富的血管网络、不规则分支和渗漏。新生血管生成推动内皮细胞增殖过程,维持癌细胞的代谢需求,并通过建立紊乱的微循环系统促进侵袭。尽管在全身治疗方面取得了显著进展,包括靶向治疗和免疫检查点抑制剂,但 HCC 中的高血管密度仍是有效治疗的主要障碍。
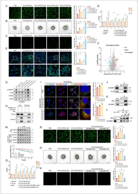
sEV-CLTB 与 SH3KBP1 相互作用促进血管生成,破坏血管内皮屏障完整性,加剧肺血管渗漏
02
鉴于肝细胞癌(HCC)的高血管生成性和转移倾向,研究人员研究了 sEV-CLTB 在血管生成和血管通透性方面的作用。此外,研究人员还研究了 sEV-CLTB 是否促进癌细胞外渗并诱导血管通透性。在体内实验中,注射 CLTB-OE-sEV 的小鼠与注射对照 sEV 和 CLTB-KD1-sEV 的小鼠相比,Texas Red 葡聚糖扩散区域更广,表明肺血管通透性增加。
为了探究 sEV-CLTB 诱导血管生成及破坏血管内皮屏障的具体机制,研究人员对 MHCC97H shNC-sEV 和 CLTB-KD1-sEV 处理后的 HUVECs 进行了蛋白质质谱分析。进一步分析表明调节网格蛋白依赖性内吞作用的 SH3KBP1 可能是 CLTB 调控的潜在靶点。通过 GST 下拉和免疫沉淀实验表明,CLTB 在 HUVECs 中与 SH3KBP1 相互作用。免疫荧光结果显示,CLTB 和 SH3KBP1 在 HUVECs 中共定位。此外,与流式细胞术的结果一致,用 CLTB-OE-sEVs 处理后,CLTB 和 SH3KBP1 的表达率均显著升高,从而揭示了 CLTB 和 SH3KBP1 表达之间的正相关性。
研究人员采用免疫沉淀法验证了 HUVECs 中 SH3KBP1 与 CBL 的相互作用。与 PBS 处理相比,CLTB-NC-sEV 处理降低了 SH3KBP1-CBL 的相互作用,而 CLTB-OE-sEVs 进一步降低了这种相互作用。肝癌细胞来源的 sEV-CLTB 与 SH3KBP1 结合,从而减轻了 SH3KBP1-CBL 的相互作用,并阻止了 CBL 诱导的 SH3KBP1 单泛素化和降解。研究结果还表明,在 CLTB-NC-sEV 处理组中 SH3KBP1 得以稳定,而在 CLTB-OE-sEV 处理的细胞中其降解进一步受到抑制。
研究人员评估了 SH3KBP1 敲低是否阻碍了 CLTB-OE-sEVs 在 HUVECs 中的作用。在 SH3KBP1 敲低后,sEV-CLTB 对 HUVEC 管形成和萌发能力的增强作用被逆转。研究人员证实了 SH3KBP1 是 sEV-CLTB 调节内皮通透性的关键介质。

sEV-CLTB 通过与 SH3KBP1 相互作用调节血管生成和内皮屏障功能障碍
结论
03
本研究确定 CLTB 是肝细胞癌(HCC)进展的关键驱动因素,其通过双重机制发挥作用:细胞内激活的 NF-κB-PCLAF 信号轴促进小细胞外囊泡(sEV)的摄取并促进肿瘤细胞增殖,同时通过抑制泛素化介导的降解稳定 SH3KBP1 蛋白来介导血管重塑。CLTB 过表达与不良预后相关,而临床前模型表明,靶向 CLTB 或 SH3KBP1 与索拉非尼联合使用可抑制肿瘤生长和血管生成。这些发现凸显了 CLTB 作为治疗靶点的重要性,并为 HCC 的双通路干预提供了理论依据。(转化医学网360zhyx.com)
参考资料:
https://advanced.onlinelibrary.wiley.com/doi/10.1002/advs.202508613
【关于投稿】
转化医学网(360zhyx.com)是转化医学核心门户,旨在推动基础研究、临床诊疗和产业的发展,核心内容涵盖组学、检验、免疫、肿瘤、心血管、糖尿病等。如您有最新的研究内容发表,欢迎联系我们进行免费报道(公众号菜单栏-在线客服联系),我们的理念:内容创造价值,转化铸就未来!
转化医学网(360zhyx.com)发布的文章旨在介绍前沿医学研究进展,不能作为治疗方案使用;如需获得健康指导,请至正规医院就诊。
责任声明:本稿件如有错误之处,敬请联系转化医学网客服进行修改事宜!
微信号:zhuanhuayixue
腾讯登录
还没有人评论,赶快抢个沙发