靶向代谢通路!华中科技大学合作发文:克服肝癌仑伐替尼耐药的新策略
| 导读 | 获得性耐药仍然是晚期肝细胞癌(HCC)分子靶向治疗的瓶颈。 |
10月25日,华中科技大学与中山大学研究人员合作在期刊《Advanced Science》上发表了研究论文,题为“Lactylation-Driven IGF2BP3-Mediated Serine Metabolism Reprogramming and RNA m6A—Modification Promotes Lenvatinib Resistance in HCC”,本研究中,研究人员发现在各种仑伐替尼耐药模型中,增强的糖酵解导致乳酸积累和IGF2BP3的赖氨酸酰化。这种酰化对于捕获PCK2和NRF2 mRNAs至关重要,从而增强它们的表达。这一过程重新编程了丝氨酸代谢,并加强了抗氧化防御系统。此外,改变的丝氨酸代谢增加了甲基化底物的可用性,用于PCK2和NRF2 mRNAs的N6-甲基腺苷(m6A)甲基化。酰化的IGF2BP3-PCK2-SAM-m6A环维持较高的PCK2和NRF2水平,增强抗氧化系统并促进HCC中仑伐替尼的耐药性。在体内,使用携带siRNAs靶向IGF2BP3或糖酵解抑制剂2-DG的脂质体治疗可恢复仑伐替尼的敏感性。这些发现强调了代谢重编程与表观遗传调控之间的联系,并表明靶向代谢通路可能为克服肝癌中仑伐替尼耐药性提供新的策略。

https://onlinelibrary.wiley.com/doi/full/10.1002/advs.202401399
背景信息
01
肝细胞癌(HCC)是一种高度侵袭性的恶性肿瘤,通常在晚期被诊断出来,治疗选择有限。酪氨酸激酶受体抑制剂仑伐替尼(lenvatinib)代表了晚期HCC的一种一线治疗策略。然而,其有限的响应率(24.1%)和出现的耐药性发展需要对分子机制进行探索,以创新抗药策略。最近,几种翻译后修饰(PTMs),包括琥珀酰化、天冬酰胺(N)-连接糖基化和泛素化,被证明是靶向疗法耐药性发展的关键因素。组蛋白赖氨酸乙酰化(Klac)已被确定为一种新型的PTM,能够调节基因转录或蛋白质功能,从而影响各种生物学过程,如肿瘤形成、代谢重编程和靶向疗法耐药性。虽然细胞环境中非组蛋白蛋白质的丰度和特异性超过了组蛋白,但非组蛋白蛋白质上乙酰化修饰的程度及其对肿瘤行为的影响仍不明确。
细胞代谢重编程赋予恶性细胞适应微环境内在或外在压力的能力,从而使大分子合成和氧化还原稳态具有灵活性和高可塑性;这导致获得性耐药。有氧糖酵解被认为与对靶向治疗药物的耐药性有关。糖酵解/糖异生的关键分支点是丝氨酸合成途径,它通过为大分子合成(包括蛋白质、核苷酸和脂质)提供前体物质,参与了基本的生物学过程。丝氨酸参与了核苷酸合成和涉及组蛋白、DNA中的5-甲基胞嘧啶(5-mC)和RNA中的N6-甲基腺苷(m6A)甲基化的甲基化反应,从而将代谢与表观遗传学联系起来。此外,激活的丝氨酸合成与一碳代谢相结合,产生主要的内源性抗氧化剂谷胱甘肽(GSH)和NADPH,以维持氧化还原平衡,赋予化疗耐药性。RNA m6A修饰代表了细胞过程中另一种重要的表观遗传调控机制。先前的研究表明,m6A阅读器IGF2BP3通过调节NRF2表达,促进了肝癌细胞对索拉非尼的耐药性。然而,靶向药物在HCC中的治疗效果是否受到糖酵解/糖异生产生的丝氨酸代谢和RNA m6A修饰的影响,目前尚不清楚。
研究进展
02
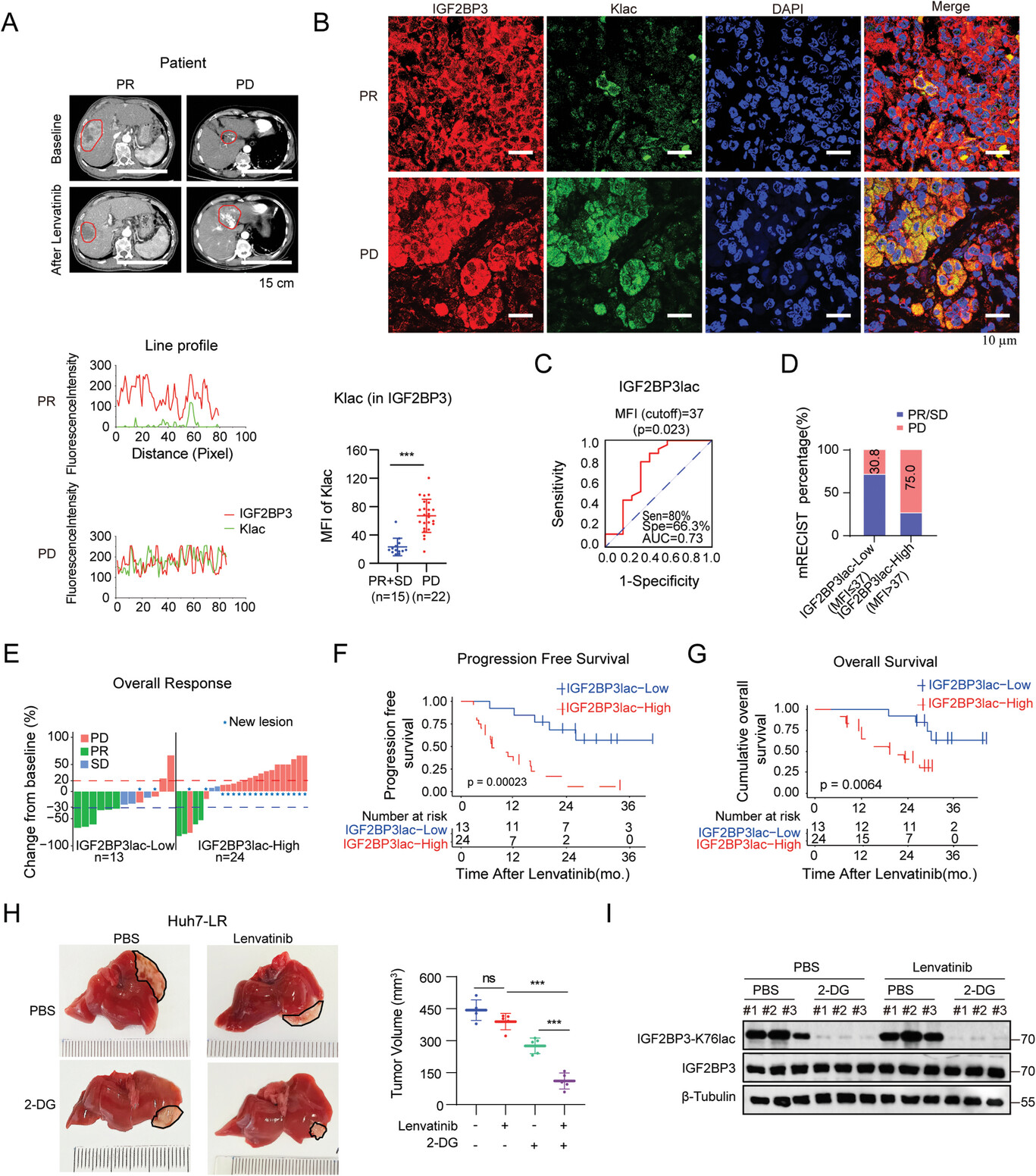
为了确定IGF2BP3lac在仑伐替尼耐药中的关键作用,研究人员对37例术后肝癌样本(n=37)的IGF2BP3lac水平进行了详细分析。研究人员使用修改后的实体肿瘤疗效评价标准(mRECIST),观察到低IGF2BP3lac水平的患者对仑伐替尼的响应优于高IGF2BP3lac水平的患者,这在CT或MRI扫描中得到证实。研究人员使用后处理数据集评估IGF2BP3lac作为仑伐替尼响应的生物标志物的潜力。研究人员将IGF2BP3lac的染色强度分为高(MFI≥37)或低(MFI<37)两类。在低IGF2BP3lac组(13例患者)中,有9例(69.2%)患者达到客观缓解,显著高于高IGF2BP3lac组(24例患者)的6例(25.0%)(p<0.05)。值得注意的是,低IGF2BP3lac组仅观察到4例疾病进展病例,而大多数病例发生在高IGF2BP3lac组。此外,在同济医院队列中,高IGF2BP3lac水平与更差的无进展生存期和总生存期相关。

研究人员试图将这些发现转化为逆转仑伐替尼耐药的治疗方法。为了评估抑制糖酵解对仑伐替尼敏感性的影响,研究人员在异位肝癌模型中使用了糖酵解抑制剂2-DG。结果表明,2-DG治疗显著提高了仑伐替尼的敏感性,并降低了体内IGF2BP3lac的水平。研究人员进一步评估了在异位移植模型中通过尾静脉靶向递送siIGF2BP3负载的脂质体(LNPs,脂质纳米颗粒)的效果。优化后的脂质体具有高siRNA装载效率和肝脏靶向性。连续使用siRNA负载的脂质体(si-LNPs)不会显著影响肝脏毒性标志物,表明其具有较低的肝脏毒性和总体毒性。体内研究发现,脂质体主要在肝脏积累,并随着时间逐渐减少。装载有siIGF2BP3的脂质体显著抑制了IGF2BP3的表达,在给药后第3天达到最低水平,并在第6天恢复到正常水平。连续两周每隔三天给予siIGF2BP3-装载的脂质体联合使用仑伐替尼显著降低了肝脏肿瘤负荷。这些结果证实,高IGF2BP3lac水平与仑伐替尼治疗反应不佳相关,靶向IGF2BP3可以有效地恢复仑伐替尼在HCC中的敏感性。
结论
03
总之,IGF2BP3lac高水平表达对于促进m6A修饰至关重要,它通过驱动丝氨酸合成和SAM生成,在仑伐替尼耐药中发挥关键作用。酰化IGF2BP3增强了其作为m6A读取器的作用,稳定并促进了PCK2和NRF2 mRNAs的翻译,这一过程协同促进了HCC中的仑伐替尼耐药。本发现为IGF2BP3lac-PCK2介导的丝氨酸代谢与m6A甲基化之间的相互作用提供了新的视角。本研究可能为克服HCC中的仑伐替尼耐药提供一种潜在的治疗策略。(转化医学网360zhyx.com)
【参考资料】
https://onlinelibrary.wiley.com/doi/full/10.1002/advs.202401399
【关于投稿】
转化医学网(360zhyx.com)是转化医学核心门户,旨在推动基础研究、临床诊疗和产业的发展,核心内容涵盖组学、检验、免疫、肿瘤、心血管、糖尿病等。如您有最新的研究内容发表,欢迎联系我们进行免费报道(公众号菜单栏-在线客服联系),我们的理念:内容创造价值,转化铸就未来!
转化医学网(360zhyx.com)发布的文章旨在介绍前沿医学研究进展,不能作为治疗方案使用;如需获得健康指导,请至正规医院就诊。
腾讯登录
还没有人评论,赶快抢个沙发