【Nature子刊】协和医学院王艳团队:MTA1有望成为乳腺癌治疗的新靶点
| 导读 | 本研究旨在探讨MTA1、MTA3和TRIM21在乳腺癌细胞体内外增殖、侵袭、上皮-间充质转化(EMT)和干细胞样特性中的作用。 |
2024年8月17日,中国医学科学院、北京协和医学院附属肿瘤医院王艳团队在期刊《Cell Death & Disease》上发表了题为“The feedback loop between MTA1 and MTA3/TRIM21 modulates stemness of breast cancer in response to estrogen”的研究论文。本研究揭示了MTA1和MTA3/TRIM21之间的负调控关系。MTA1和MTA3之间的串扰,调节乳腺癌细胞的恶性肿瘤,包括增殖、侵袭、EMT和干性。TRIM21会影响MTA1的稳定性。

https://www.nature.com/articles/s41419-024-06942-w
研究介绍
01
乳腺癌严重影响全球女性健康,占女性恶性肿瘤的31%,占女性恶性肿瘤死亡人数的15%。肿瘤转移是乳腺癌生存率低的一个必要原因。恶性肿瘤的癌症干性和上皮-间充质转化(EMT),是影响肿瘤转移的重要因素。
EMT是一个多步骤的动态过程,在恶性肿瘤的进展中,起着至关重要的作用。调控EMT的转录因子,包括SNAI1、Twist1、ZEB1和ZEB2。癌细胞通过促进EMT获得干性,从而通过表观遗传调节,实现侵袭性转移。先前的研究报道,上皮细胞粘附分子(EpCAM)促进癌细胞自我更新和骨转移。
核小体重塑去乙酰酶复合物(NuRD)和组蛋白去乙酰化酶(HDAC)作为染色质重塑复合物,通过调节组蛋白去乙酰化,来抑制转录。MTA家族包括MTA1、MTA2和MTA3,调节下游基因的转录,这些基因是NuRD复合物的重要组成部分。MTA1、MTA2和MTA3的N端区域高度同源,而C端仅在MTA1中包含独特的富含脯氨酸的区域。C末端的差异,是MTA1和MTA3在肿瘤中作用不同的原因。 与MTA1和MTA3不同,在肿瘤发生过程中,MTA2的表达几乎没有变化。最近的研究表明,MTA1在多种肿瘤中过表达,包括乳腺癌、前列腺癌、宫颈癌和肝癌。MTA1参与恶性转化的各个步骤,包括侵袭、EMT、DNA损伤、血管生成、炎症、转移和耐药性。它通过与NuRD复合物结合,发挥转录抑制作用,并阻断雌激素刺激的ESR1转录。
MTA3主要通过NuRD复合物发挥转录抑制作用,以抑制癌细胞的干性和转移,并最终抑制肿瘤发生。 团队之前的研究表明,MTA3/GATA结合蛋白3(GATA3)/G9A复合物,可以转录抑制转录因子ZEB2,以抑制乳腺癌变。
在本研究中,团队研究了MTA1是否在乳腺癌组织中过表达,以及它是否与乳腺癌患者的生存率低相关。MTA3表达在乳腺癌中逐渐下调,MTA3的缺失促进乳腺癌的疾病进展。团队发现,MTA1和MTA3被特定的转录因子识别,并在乳腺癌中发挥相反的作用。
研究进展
02
MTA1通过阻碍MTA3/TRIM21的表达,来促进乳腺癌细胞的增殖、侵袭和癌症干性
乳腺癌细胞中的EdU测定表明,MTA1敲低介导的增殖减少,被 MTA3或TRIM21敲低逆转。MTA1过表达,促进了乳腺癌细胞的侵袭性,而MTA3或TRIM21的过表达,使其恢复到正常水平。MDA-MB-231细胞中MTA1的功能丧失,降低了侵袭性,通过共敲低MTA3或TRIM21,侵袭性得到了部分恢复。这些结果表明,MTA1通过抑制MTA3的表达,来促进乳腺癌细胞的增殖、侵袭性和干性。
MTA1表达受TRIM21介导的泛素化调控,ERα促进TRIM21转录激活。
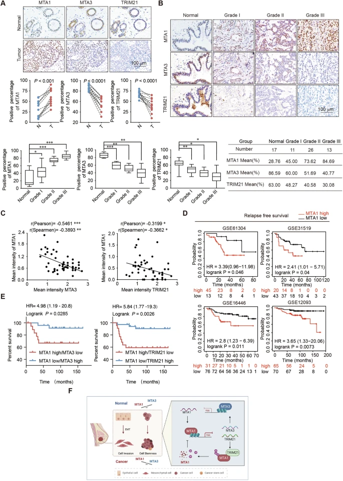
MTA1上调是预后不良的标志,而MTA3和TRIM21与多种癌症的良好预后相关
与正常组织中相比,MTA1在乳腺癌组织中的表达显著上调,而MTA3和TRIM21的表达则相反。MTA1表达与癌症组织学分级呈正相关,MTA3和TRIM21的表达量正相关。MTA1表达与MTA3和TRIM21表达呈负相关 (Fig.Kaplan-Meier生存分析显示,较高的MTA1表达水平,对乳腺癌患者的RFS和OS不利)。这也适用于宫颈鳞状细胞癌、肝细胞癌和肉瘤。
基于MTA1/MTA3或MTA1/TRIM21的反向表达,对患者进行分层,提高了MTA1的预测能力。这些发现表明,MTA1、MTA3和TRIM21是乳腺癌的潜在生物标志物。

MTA1在乳腺癌中上调,是一种潜在的癌症生物标志物。
研究结论
03
乳腺癌干细胞,参与乳腺癌发展的多个步骤,包括侵袭和转移。癌症干细胞的产生是由EMT介导的,EMT促进细胞去极化和自我更新,从而促进肿瘤发生。本研究确定了乳腺癌干性的多个调节因子,并表明MTA1通过与EMT相互作用,抑制MTA3和TRIM21的表达,来影响癌症干样状态。
本研究首次证明TRIM21与MTA1相互作用,以调节其蛋白质的泛素化,并减弱MTA1的蛋白质表达水平。TRIM21参与癌症的进展,主要是代谢、免疫调节和癌症治疗。TRIM21介导支链氨基酸转氨酶2(BCAT2)的降解,抑制胰腺导管腺癌的形成和进展。TRIM21介导细胞周期蛋白依赖性激酶2(CDK2)自噬溶酶体途径的降解,从而抑制急性髓系白血病的增殖。研究结果表明,TRIM21影响MTA1的稳定性,阻碍乳腺癌的增殖、侵袭、EMT和癌症的干性,并与MTA3协同作用,以维持上皮稳态。
总之,本研究提供了机制上的理解,即MTA1和MTA3、MTA1和TRIM21响应雌激素的负反馈回路,是为了调节乳腺癌中的癌症干细胞命运和EMT。MTA1通过转录,抑制MTA3和TRIM21发挥负调控作用。相反,MTA3通过转录,调控抑制MTA1 mRNA的表达,而TRIM21影响MTA1的稳定性。研究结果增加了对EMT和干性调节网络复杂性的观察,并表明MTA1是乳腺癌诊断和前瞻性治疗靶点的潜在生物标志物,MTA3和TRIM21是乳腺癌的潜在预后生物标志物。
参考资料:
1.Siegel RL, Miller KD, Fuchs HE, Jemal A. Cancer statistics, 2022. CA Cancer J Clin. 2022;72:7–33.
2.Jayachandran A, Dhungel B, Steel JC. Epithelial-to-mesenchymal plasticity of cancer stem cells: therapeutic targets in hepatocellular carcinoma. J Hematol Oncol. 2016;9:74.
腾讯登录
还没有人评论,赶快抢个沙发