抑制肿瘤生长!上海大学/上海交大联合发文:发现胶质瘤治疗新的特异性靶点
| 导读 | LncRNAs调控多种肿瘤的发生和发展。研究人员首次证实LINC00606在胶质母细胞瘤(GBM)患者标本中显著表达,并与不良预后相关。 |
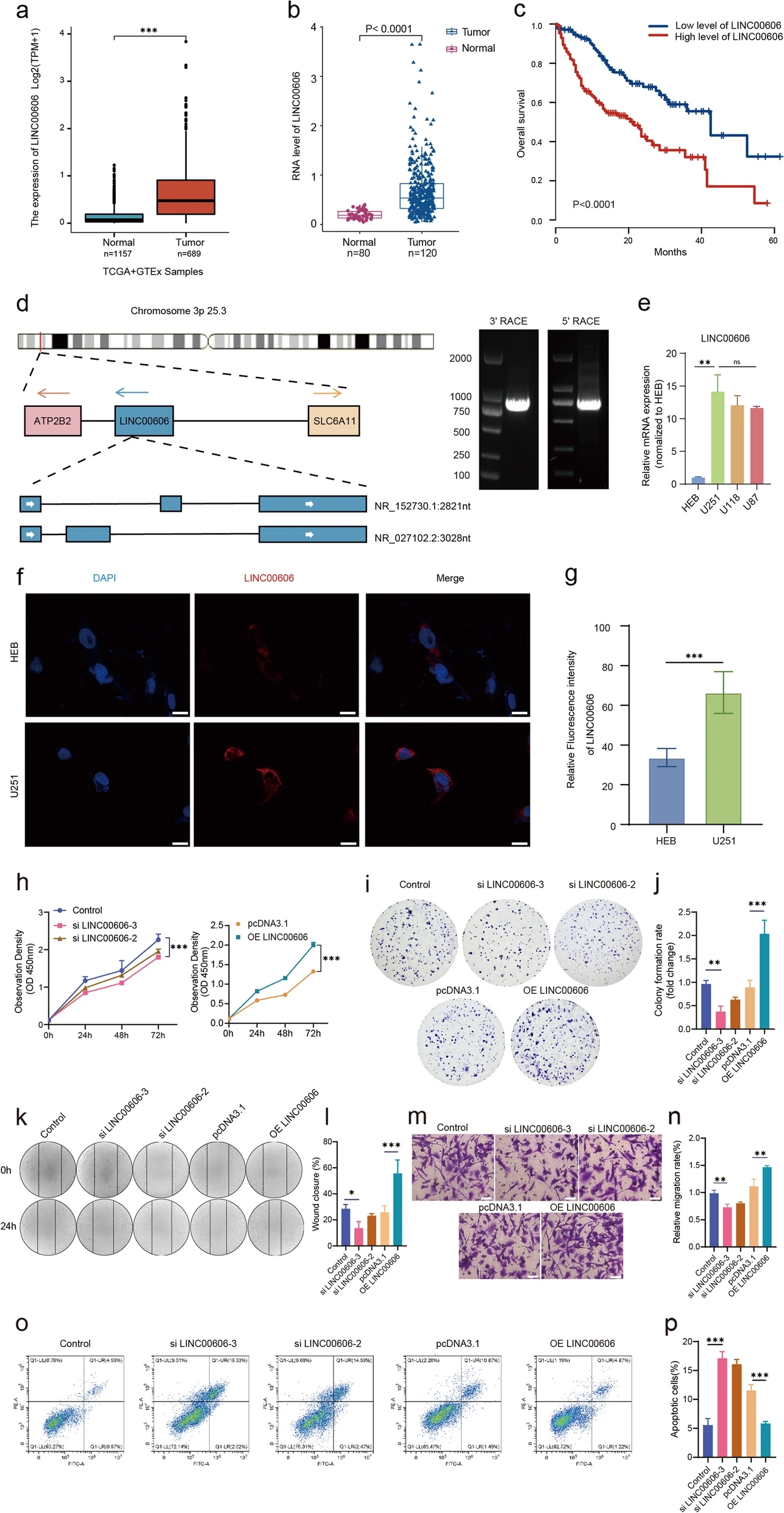
5月9日,上海大学联合上海交通大学研究人员在期刊《Journal of Experimental & Clinical Cancer Research》上发表了研究论文,题为“LINC00606 promotes glioblastoma progression through sponge miR-486-3p and interaction with ATP11B”。本研究表明,LINC00606可以作为胶质瘤的特异性生物标志物。此外,LINC00606的敲低可降低胶质瘤细胞的增殖和迁移能力,促进细胞凋亡。同样,体内研究也表明,LINC00606表达降低可抑制肿瘤生长,这意味着LINC00606可能成为治疗胶质瘤的一种新型特异性靶点。

https://jeccr.biomedcentral.com/articles/10.1186/s13046-024-03058-z#Sec27
研究背景
01
随着医学技术和临床治疗指南的进步,在预测胶质母细胞瘤(GBM)的调控分子和优化治疗策略方面取得了进展;但预后仍较差,有效干预GBM进展的靶基因有待进一步探索。目前迫切需要揭示参与胶质瘤进展的潜在分子机制,以期改善治疗。细胞凋亡在肿瘤干预和治疗中的作用已得到临床认可,因为细胞凋亡的异常激活除了会加剧化疗和放疗抵抗外,还会加剧失控的肿瘤发生和发展。因此,探索调控胶质瘤细胞凋亡过程的关键靶点对优化临床治疗策略具有重要意义。
长链非编码RNA (LncRNAs)是一种长度超过200个核苷酸的分子,在肿瘤细胞的许多生物学现象中起着重要作用,如免疫反应、癌症的发生和发展。LncRNAs参与多种细胞活动,包括表观遗传、转录和转录后调控。此外,它们被用作分子海绵,通过海绵microRNA (miRNA)来操纵靶基因的表达,从而作为肿瘤抑制因子或促肿瘤因子的调控系统。作为基因表达网络中的关键角色,lncrna与特定蛋白质相互作用,调节癌细胞的稳态,包括增殖、存活、迁移和其他细胞过程。lncrna调控胶质瘤的相关机制仍有待阐明。
研究进展
02
在本研究中,研究人员首次揭示LINC00606在GBM中的表达水平显著升高且具有特异性。高表达LINC00606的GBM具有更强的恶性潜能和更差的预后。功能上,LINC00606可以促进胶质瘤细胞的增殖和迁移,降低细胞凋亡率。在分子机制方面,研究人员发现LINC00606主要存在于细胞质中,通过吸附miR-486-3p来促进胶质瘤进展,miR-486-3p的靶基因是TCF12。此外,TCF12在胶质瘤中高度表达,作为转录因子控制LINC00606、PTEN和KLLN的转录。另外,LINC00606与ATP11B结合,参与PI3K/AKT信号通路的调节,降低细胞凋亡水平,从而促进胶质瘤进展。
长非编码RNA不仅能调节基因表达,参与信号转导途径,还能调节表观遗传、转录和转录后修饰。长非编码RNA的表达与多种生物学功能密切相关,包括细胞生存、癌症进展和转移。最近的研究表明,长非编码RNA的异常表达与胶质瘤的病理和预后密切相关。长非编码RNA LPP-AS2通过miR-7-5p/EGFR/PI3K/AKT/c-MYC反馈环促进胶质瘤的肿瘤发生。本研究发现,LINC00606在胶质瘤(包括GBM和LGG)中表达丰富,且与不良预后相关,提示LINC00606可作为胶质瘤的特异性生物标志物。此外,敲低LINC00606可减少胶质瘤细胞的增殖和迁移,促进细胞凋亡。同样,体内实验结果也表明,降低LINC00606的表达可以抑制肿瘤的生长,这表明LINC00606可能成为治疗胶质瘤的新的特异性靶点。

LINC00606是GBM的预后危险因素
研究结论
03
总之,LINC00606/miR-486-3p/TCF12/ATP11B轴参与GBM进展的调控,主要通过LINC00606吞噬miR-486-3p和靶向结合ATP11B,在转录和转录后水平上发挥肿瘤调控作用。因此,对调控网络LINC00606的研究可能成为治疗GBM的一种新的治疗策略。(转化医学网360zhyx.com)
参考资料:
https://jeccr.biomedcentral.com/articles/10.1186/s13046-024-03058-z#Sec27
注:本文旨在介绍医学研究进展,不能作为治疗方案参考。如需获得健康指导,请至正规医院就诊。
腾讯登录
还没有人评论,赶快抢个沙发