推荐活动

【Cell子刊】驱动“癌王”免疫抑制机制!中山大学郑健/王力勤/林东昕最新研究发布

首页 » 《转》译 2024-04-23 转化医学网 赞(2)
分享: 
导读
生物蝶呤(biopterin)代谢与免疫检查点阻断(ICB)治疗耐药性的相关性仍然未知。

2024年4月19日,中山大学郑健、王力勤及林东昕共同通讯在《Cell Metabolism》上发表题为“QDPR deficiency drives immune suppression in pancreatic cancer”的研究论文,研究证明了 PDAC 中肿瘤细胞劫持的生物蝶呤代谢与肿瘤免疫之间的相互作用,提出 QDPR 作为 ICB 和 BH4 补充的生物标志物可以克服 QDPR 缺陷 PDAC 的 ICB 耐药性。

https://www.cell.com/cell-metabolism/abstract/S1550-4131(24)00119-0

研究背景

 01 

胰腺导管腺癌 (PDAC) 以高度免疫抑制肿瘤微环境 (TME) 为特征,对免疫检查点阻断 (ICB) 治疗(如抗 PD-1 和抗 CTLA-4 治疗)具有耐药性。髓源性抑制细胞 (MDSC) 在诱导免疫抑制中起关键作用,并解释了癌症(包括 PDAC)中的 ICB 耐药性。揭示免疫抑制机制将为提高ICB的治疗效果提供一种新的策略。代谢重编程是癌症的标志,它赋予肿瘤细胞将TME重塑为免疫抑制状态的能力。生物蝶呤代谢涉及代谢物的合成和转化,主要包括蝶呤、四氢生物蝶呤(BH4)、醌二氢蝶啶(qBH2)和二氢生物蝶呤(BH2)。核心代谢物 BH4 是芳香族氨基酸羟化酶和一氧化氮合酶 (NOS) 等多种酶的辅助因子。BH4/BH2 比值降低导致 NOS 从产生 NO 到活性氧 (ROS) 的功能转变。最近,据报道,生物蝶呤代谢与肿瘤发生有关。此外,T细胞中的代谢物BH4和sepiapterin已被证实可促进T细胞增殖,表明生物蝶呤代谢在肿瘤免疫中起关键作用。然而,肿瘤细胞中的生物蝶呤代谢能否被劫持以重塑肿瘤免疫微环境仍是未知数。

在生物蝶呤代谢途径中,醌类二氢蝶啶还原酶 (QDPR) 主要用于催化 qBH2 转化为 BH4。现有文献表明,QDPR可以抵消肿瘤细胞中四氢叶酸的氧化,同时保持细胞内叶酸浓度。然而,QDPR在肿瘤中的表达模式、其对肿瘤预后的影响、与肿瘤免疫原性的相关性及其对BH4/BH2比值的影响尚未阐明。

研究进展

 02 

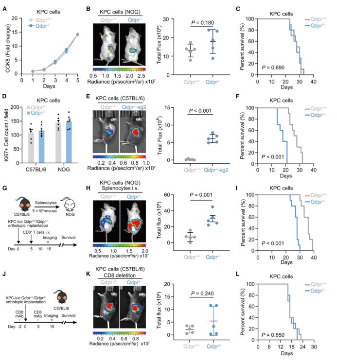
研究人员发现 QDPR 在 PDAC 中的表达显著下调,并且这种下调与患者的不良预后密切相关。通过分析来自 TCGA 数据库的 PDAC 队列,观察到 QDPR 水平较低的肿瘤与更短的患者生存时间相关联。此外,在小鼠 PDAC 异种移植模型中敲除 Qdpr 基因后,肿瘤生长加速和小鼠生存期缩短。  为此,研究人员构建了胰腺特异性 Qdpr 敲低小鼠模型,发现 Qdpr 的缺失会导致胰腺上皮内瘤变(PanIN)和髓源性抑制细胞(MDSCs)数量的增加,CD8+T 细胞数量显著减少。

QDPR 的缺失以免疫系统依赖的方式促进 PDAC 恶性肿瘤进展

在 QDPR 表达正常的 PDAC 肿瘤中, ICB 治疗显著减少了 MDSCs 的数量,同时增加了 CD8+T 细胞和 GZMB+CD8+ T 细胞的数量。然而,在 QDPR 缺失的 PDAC 中,ICB 治疗效果并不显著。 通过给予 BH4 治疗,降低了肿瘤微环境中 CXCL1 的水平,并减少了肿瘤中 MDSCs 的数量,同时增加了 CD8+ T 细胞的浸润,最终抑制肿瘤生长。当 BH4 治疗与 ICB 治疗联合使用时,可显著抑制了 MDSCs 的数量,同时增加了效应 CD8+T 细胞在肿瘤免疫微环境中的浸润,显著抑制肿瘤生长,并延长了小鼠的生存时间。

BH4 补充物增强了 QDPR 缺乏的 PDAC 对 ICB 治疗的敏感性

研究结论

 03 

本研究,我们证明,醌类二氢蝶啶还原酶(QDPR)是一种调节生物蝶呤代谢的关键酶,其缺乏会导致代谢物二氢生物蝶呤(BH2)积累并降低胰腺导管腺癌(PDAC)中四氢生物蝶呤 (BH4) 与 BH2 的比率。BH4/BH2比值降低导致活性氧(ROS)生成增加,H3K27me3 在 CXCL1 启动子上的分布减少。因此,髓源性抑制细胞通过 CXCR2 被募集到肿瘤微环境中,导致对 ICB 治疗的耐药性。我们发现 BH4 补充剂能够恢复 BH4/BH2 比率,增强抗肿瘤免疫力,并克服 QDPR 缺陷型 PDAC 的 ICB 耐药性。QDPR表达较低的肿瘤对ICB治疗的反应性降低。这些发现为选择患者和联合治疗提供了一种新的策略,以提高 ICB 治疗在 PDAC 中的有效性。

模式图(转化医学网360zhyx.com)

参考资料:

https://www.cell.com/cell-metabolism/abstract/S1550-4131(24)00119-0

注:本文旨在介绍医学研究进展,不能作为治疗方案参考。如需获得健康指导,请至正规医院就诊。

评论:
评 论
共有 0 条评论

    还没有人评论,赶快抢个沙发


Baidu
map