浙江中医药大学/福州大学联合发文:唤醒“热”肿瘤免疫,促进抗PD-1免疫治疗的机制
| 导读 | 肿瘤免疫治疗是一项有吸引力的策略,因为它通过调节免疫系统的内在活性来刺激免疫细胞靶向恶性细胞。然而,由于缺乏许多免疫学标志物,治疗代表性“冷”肿瘤—胶质瘤仍较困难。 |
近日,浙江中医药大学研究人员联合福州大学研究人员在期刊《Advanced Science》上发表了研究论文,题为“Bacteria Synergized with PD-1 Blockade Enhance Positive Feedback Loop of Cancer Cells-M1 Macrophages-T Cells in Glioma”。本研究表明,定制的细菌可以通过增强癌细胞-M1型巨噬细胞-T细胞的正反馈环路来唤醒“热”肿瘤免疫,促进胶质瘤中的抗PD-1免疫治疗。

https://onlinelibrary.wiley.com/doi/full/10.1002/advs.202308124
研究背景
01
神经胶质瘤是一种破坏性极强的中枢神经系统肿瘤。不幸的是,由于脑胶质瘤的边界模糊、异质性高、侵袭性强,传统的手术、化疗和放疗等治疗方法效果有限,预后差、生存期短、转移多、复发率高。作为癌症治疗的支柱,癌症免疫治疗有望利用机体的免疫系统控制和消除胶质瘤细胞。在癌症免疫治疗的治疗模式中,针对B7-CD28超家族成员之一的共刺激分子PD-1的免疫检查点治疗抗PD-1在对抗多种癌症,特别是血液肿瘤方面取得了令人鼓舞的结果。然而,抗PD-1的III期临床试验显示其在胶质瘤中的治疗效果较低,不能使胶质瘤患者受益。因此,迫切需要开发一种新的和有效的策略来改善抗PD-1在胶质瘤治疗中的结局。
研究方法及结果
02
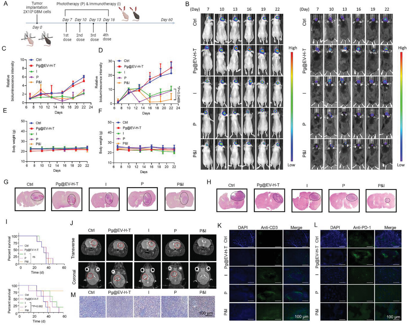
为了区分定制细菌在改善抗PD-1效果方面的作用,研究人员选择了胸腺缺失的裸鼠和免疫系统完整的C57BL/6小鼠构建胶质瘤实验模型,治疗方案如图5A所示,即在鼻内给药定制细菌后立即通过尾静脉注射抗PD-1,三小时后对胶质瘤实验模型进行激光治疗,研究人员通过监测U87-Luc细胞或GL261-Luc细胞的生物发光强度来记录肿瘤体积。每三天监测U87-Luc或GL261-Luc的肿瘤生长的生物发光成像,研究人员比较了五组的抗胶质瘤疗效:1. Control(Ctrl)组;2. Pg@EV-H-T组;3. 免疫治疗(I)组,给予抗PD-1治疗;4. 光热治疗(P)组,采用定制细菌和激光治疗;5. 光热疗法和免疫治疗(P&I)联合组采用抗PD-1、定制细菌和激光治疗。裸鼠的相对生物发光强度表明,基于细菌的光热疗法和抗PD-1免疫治疗均未产生明显的肿瘤抑制作用。这种现象主要可能归因于免疫系统缺陷以及缺乏反式尿酸和黑色素来吸收激光照射。当使用C57BL/6小鼠进行相同操作时,P&I组的治疗效果高于I组,显示出与抗PD-1治疗的协同作用。关键是,如果不与抗PD-1和光热操作合作,Pg@EV-H-T单独不能缩小肿瘤。此外,还观察到轻微的体重波动。

细菌与PD-1阻断剂协同抗胶质瘤的作用
研究表明,在GL261胶质瘤模型中,基于Pg@EV-H-T的光热治疗对抗PD-1免疫治疗起辅助作用,改善了肿瘤体积和生存率。在Pg@EV-H-T联合抗PD-1光热免疫治疗后,PD-1表达的T细胞和凋亡细胞的数量均有所增加,显然唤醒了“热”肿瘤免疫。
研究人员还测试了“热”肿瘤出现背后的假设,即定制细菌联合抗PD-1光热免疫治疗可以增强癌细胞-巨噬细胞-T细胞的正反馈回路。观察到的巨噬细胞和T细胞数量之间的正相关性支持正反馈回路的假设。
研究结论
03
综上所述,这项工作揭示了Pg@EV-H-T在完成选择性靶向和唤醒睡眠免疫系统的任务方面的多用途性。研究人员相信,该定制化细菌将激发更多关于构建工程细菌的创新思维,并将它们用作疾病干预和治疗的新系统。(转化医学网360zhyx.com)
参考资料:
https://onlinelibrary.wiley.com/doi/full/10.1002/advs.202308124
注:本文旨在介绍医学研究进展,不能作为治疗方案参考。如需获得健康指导,请至正规医院就诊。
腾讯登录
还没有人评论,赶快抢个沙发