推荐活动

《Cell Death Dis》:新型环状RNA,可增强宫颈癌的放射耐药

首页 » 《转》译 2023-07-21 转化医学网 赞(3)
分享: 
导读
宫颈癌是最常见的妇科恶性肿瘤。原位癌高发年龄为30~35岁,浸润癌为45~55岁,近年来其发病有年轻化的趋势。

环状RNA(circRNA)和N6 -甲基腺苷(m6A)已被证明在不同癌症的发展中发挥着越来越重要的作用。然而,关于circRNA和m6A如何相互作用影响宫颈癌(CC)的放射敏感性的证据有限。

近日,苏州大学附属第三医院团队在《Cell Death Discovery》上发表题为“circRNF13, a novel N6-methyladenosine-modified circular RNA, enhances radioresistance in cervical cancer by increasing CXCL1 mRNA stability”的文章。该研究为m6A调控的circRNF13增强CC的辐射抗性提供了机制理解。

https://www.nature.com/articles/s41420-023-01557-0

研究背景

 01 

在全球范围内,宫颈癌(CC)是女性生殖道最常见的恶性肿瘤。据世界卫生组织(WHO)国际癌症研究机构(IARC 2002)估计,2012年全球共发生604,127例新发病例和341,832例死亡病例,其中80-85%的病例发生在发展中国家。大多数早期CC患者在临床情况下接受手术治疗,而根据国家综合癌症网络(NCCN)指南,IB2-IVA期CC患者建议接受同步放化疗。因此,放疗是CC治疗的重要组成部分,但对于局部晚期CC, IIB期、IIIB期和IV期的5年生存率分别只有60-65%、25-50%和20-35%。此外,约40%的死亡是局部不受控制的。欧洲放射肿瘤学治疗学会(European Society for Therapeutic Radiology and Oncology, ESTRO)的一项回顾性研究发现,对CC的临床高危靶点进行高剂量放疗可使3年局部控制率分别提高到94%、93%和86%以上。然而,高剂量照射不可避免地会对周围器官如膀胱、直肠、乙状结肠、阴道等产生放射毒性,并增加放疗相关并发症的发生风险。因此,目前的放射生物学和放射肿瘤学研究正在积极探索如何提高CC细胞的放射敏感性,同时尽量减少对正常宫颈周围组织的辐射剂量。这是一个重要的研究领域,旨在提高治疗的有效性,同时减少副作用。

环状RNA (Circular RNA, circRNA)是一类内源性非编码RNA,存在于各种真核细胞中。环状RNA的表达模式和特征,包括保守性、普遍性、稳定性和组织/细胞特异性,使其能够在各种类型的肿瘤中作为生物标志物。许多研究表明,circRNA在CC细胞的迁移、增殖和侵袭中发挥着重要的调节作用,因此能够作为CC的生物标志物和治疗靶点。

N6-甲基腺苷(m6A)是一种发生在腺苷N6位点上的表转录组变异。它是真核生物mRNA中最丰富的修饰,约占所有腺苷的0.1-0.4%。虽然早在20世纪70年代就发现了m6A,但直到最近几年,酶学和高通量技术的发展才使研究人员能够在真核生物中建立m6A动力学与各种疾病以及发育和细胞过程之间的明确联系。值得注意的是,m6A与癌症进展密切相关,包括肿瘤发生、转移和血管生成。已有证据报道m6A修饰水平和相关的m6A甲基转移酶可以调节肿瘤的放射敏感性。然而,m6A修饰的环状RNA在CC放射敏感性中的具体机制和作用尚不清楚,需要进一步研究。

在这项研究中,对放疗耐药CC患者(同步放化疗后宫颈肿块消退小于30%)和放疗敏感CC患者(同步放化疗后宫颈肿块消退至完全临床反应(CR))的三个治疗前活检进行了全基因组测序。基于选择的差异表达circRNA,随后进行甲基化RNA免疫沉淀(Me-RIP)和放射敏感性验证,发现circRNF13增加了CC细胞的放射抗性。此外,METTL3/YTHDF2促进circRNF13的降解,进而影响CXC基序趋化因子配体1 (CXCL1)的稳定性,最终增强CC细胞的放射敏感性。

研究结果

 02 

CC中circRNF13的筛选和鉴定

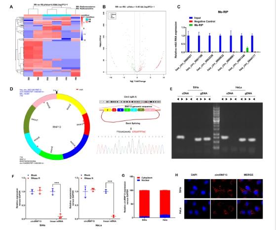
为了评估m6A修饰的环状RNA对CC放射敏感性的影响,在根治性手术和同步放化疗前,对6个CC活检标本进行了全基因组测序。经组织病理学证实为宫颈鳞癌,同步放化疗后宫颈肿块消退至临床CR的3例为放化疗敏感组,同步放化疗后宫颈肿块消退小于30%的3例为放化疗耐药组。共检测到2664个新的环状RNA,总长度为6944600 nt,平均长度为2606.83 nt。从中选择247个环状RNA在放射耐药组织和放射敏感组织中表现出显著差异(Fold Change > 2, P < 0.05)。由于检测错误,仅在一个或两个标本中表达的circRNA被移除。此外,长度大于5000 bp的环状RNA也被去除。最终,我们选择了7个差异表达的circRNA进行进一步分析,其中5个在辐射敏感的CC组织中高表达(hsa_circ_0000021、hsa_circ_0001189、hsa_circ_0003239、hsa_circ_0008832和hsa_circ_0009061), 2个在辐射耐辐射的CC组织中高表达(hsa_circ_0001346和hsa_circ_0044177)。此外,通过Me-RIP检测CC细胞(HeLa)中m6A甲基化修饰的存在,研究了这7种环状RNA是否具有m6A甲基化修饰。发现hsa_circ_0001346发生了m6A甲基化修饰。因此,后续研究选择hsa_circ_0001346。

宫颈癌中m6A相关circRNF13的筛选及特点

CXCL1是一种小分子细胞因子,属于CXC趋化因子家族,位于人类4号染色体上。已有证据表明,CXCL1在多种肿瘤的生长、发生和转移中发挥作用。CXCL1在CC中高表达,高表达意味着CC患者预后不良。下调CXCL1表达可导致CC细胞增殖和迁移减少,凋亡增加。有趣的是,多项研究表明CXCL1与肿瘤放射敏感性密切相关。肿瘤相关成纤维细胞是肿瘤环境的重要组成部分,已发现其可引起正常成纤维细胞的恶性转化,并通过分泌CXCL1抑制活性氧。这种CXCL1分泌导致酶活性降低,DNA损伤修复增加,并最终导致肿瘤放射耐药。本研究证实,CXCL1在放射耐药CC组织中高表达。此外,研究发现CXCL1可以逆转circRNF13抑制诱导的放射敏感性。

总之,这项工作表明,circRNF13,这种新的m6A修饰的环状RNA,通过增加CXCL1 mRNA的稳定性来增强CC的辐射耐药性。所获得的结果为METTL3/YTHDF2/circRNF13/CXCL1轴的调控机制提供了新的见解,该轴影响CC细胞的放射敏感性。此外,本研究为利用circRNF13作为诊断和治疗靶点,筛选合适的CC个体,提高同步放化疗的放射敏感性提供了可行性和理论依据。这种方法可以为管理CC患者和提高其治疗效果提供新的途径。(转化医学网360zhyx.com)

参考资料:

https://www.nature.com/articles/s41420-023-01557-0

注:本文旨在介绍医学研究进展,不能作为治疗方案参考。如需获得健康指导,请至正规医院就诊。

评论:
评 论
共有 0 条评论

    还没有人评论,赶快抢个沙发


Baidu
map