推荐活动

【Cell Death Dis】协和医院:显著抑制细胞增殖和转移,有望成为膀胱癌治疗新靶点

首页 » 《转》译 2023-07-17 转化医学网 赞(2)
分享: 
导读
膀胱癌是世界范围内常见恶性肿瘤,在男性全身肿瘤中发病率居第7位,是泌尿系统最常见的恶性肿瘤。

PLAGL2在多种肿瘤中上调,包括膀胱癌(BCa)。然而,PLAGL2在BCa中致瘤作用的机制尚不清楚。

近日,北京协和医院团队在国际知名期刊《Cell Death & Disease》上发表题为“PLAGL2 promotes bladder cancer progression via RACGAP1/RhoA GTPase/YAP1 signaling”的文章,证明了PLAGL2在BCa组织中过表达并与生存率降低相关。在功能上,PLAGL2缺乏显著抑制BCa细胞体外和体内的增殖和转移。RNA测序、qRT-PCR、免疫印迹、免疫荧光染色、荧光素酶报告基因和ChIP分析显示,过表达的PLAGL2通过反激活RACGAP1破坏Hippo通路,增加YAP1/TAZ活性。进一步的研究表明,PLAGL2通过racgap1介导的RhoA激活激活YAP1/TAZ信号。重要的是,RhoA抑制剂辛伐他汀或YAP1/TAZ抑制剂维替波芬消除了PLAGL2增强的BCa的促增殖和促转移作用。这些发现表明PLAGL2通过RACGAP1/RhoA GTPase/YAP1信号通路促进BCa进展。因此,信号传导的核心节点可能是BCa有希望的治疗靶点。

https://www.nature.com/articles/s41419-023-05970-2

研究背景

01

膀胱癌(BCa)是泌尿系统最常见的恶性肿瘤之一,2020年全球约有57万新诊断病例和20万死亡病例。近30%的BCa患者在初诊时表现为肌肉侵袭性肿瘤,且已进入晚期。此外,即使采用标准护理(如治愈性手术),这些患者的五年总生存率也下降了60%。因此,对BCa进展的生物学机制的新见解将提供更好的治疗方式并延长生存期。

癌症是一个多步骤的过程,癌变需要许多转录因子(transcription factors, TFs)。失调的tf参与各种癌症的增殖、侵袭和转移等多种促癌事件,包括肝细胞癌(HCC)、结直肠癌(CRC)、胶质瘤和BCa。多形性腺瘤基因样2 (PLAGL2)是PLAGL基因家族的一员,与多种癌症的发生发展密切相关。如Yang等人揭示了PLAGL2在肺腺癌发展中的病理作用。PLAGL2在促进胃肠道癌和CRC进展中的生物学作用也得到了解决。Qu等研究报道PLAGL2表达与BCa预后及淋巴结转移高度相关。然而,PLAGL2在BCa进展中的生物学机制尚不清楚。

Hippo通路在进化上是保守的,并调节组织生长和分化。越来越多的证据表明,Hippo通路在癌细胞增殖、凋亡和转移中起着至关重要的作用。在Hippo通路的核心组分中,上游调控因子如MST1/2、SAV1和LATS1/2是肿瘤抑制因子,而下游效应因子如YAP1/TAZ和TEADs是致癌基因。MST1/2激酶及其结合伙伴SAV1磷酸化并激活LATS1/2及其结合伙伴MOB1。激酶模块以抑制肿瘤的方式发挥作用,使YAP1/TAZ的转录模块成员磷酸化并失活,这些转录模块成员保留在细胞质中,随后被蛋白酶体降解。在许多癌症中,Hippo信号被抑制,YAP1和TAZ转运到细胞核中与TEAD家族结合。激活的TEADs可调控CTGF、CYR61等靶基因,这些靶基因不仅参与肿瘤细胞增殖,还参与肿瘤转移。先前的研究已经揭示了失调的tf在Hippo通路中的关键作用。例如,FOXM1的增强通过抑制Hippo信号传导和增加YAP1/TAZ活性来促进宫颈癌细胞的放射抵抗。在胃癌(GC)中,PAX6敲低通过激活Hippo信号通路消除对CDK4/6抑制剂的耐药性。然而,PLAGL2调控Hippo通路的生物学机制尚不清楚。

在这项研究中,我们发现PLAGL2是一种通过抑制Hippo信号传导促进BCa进展的致癌基因。PLAGL2在BCa肿瘤组织中过表达,与BCa患者的生存率降低有关。功能研究表明,上调的PLAGL2通过破坏Hippo信号通路激活YAP1/TAZ及其靶基因,从而促进BCa细胞体外和体内的增殖和转移。在机制上,我们发现PLAGL2可激活其下游靶基因RACGAP1,这是Hippo通路的负调控因子。RACGAP1引发ect2介导的RhoA GTPase激活,从而导致YAP1激活。因此,PLAGL2通过调节Hippo信号传导促进BCa进展,表明其作为BCa治疗靶点的潜力。

研究结果

02

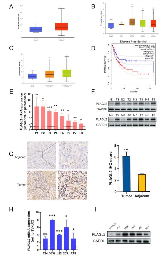
PLAGL2在BCa中过表达

为了探讨PLAGL2在BCa中的作用,我们分析了在线UALCAN网络资源中PLAGL2的表达水平,该资源包含19个邻近正常组织和408个原发肿瘤组织。结果显示,PLAGL2在原发肿瘤组织中显著上调,与肿瘤分期(除了I期肿瘤与正常组织)和组织学类型无关。此外,PLAGL2过表达与无病生存率降低有关(P < 0.005)。

PLAGL2在BCa中过表达

开发直接针对致癌TF(例如,PLAGL2)的新药物具有挑战性。另外,探索靶向信号轴关键节点的药物可能是一种很有前途的抗癌治疗策略。在本研究中,辛伐他汀和维替波芬通过靶向PLAGL2/RACGAP1/RhoA GTPase/YAP1轴的关键节点,显示出足够的抑制BCa进展的疗效。这两种抑制剂最初并不是为癌症治疗而设计的,但它们强大的抗癌潜力已经在各种癌症中得到了充分的证明,包括前列腺癌、头颈部鳞状细胞癌和乳腺癌。重新定位现有药物不仅可以提供更好的风险与回报权衡,而且有助于提高生产率和降低生产成本。未来的临床研究需要进一步研究辛伐他汀或维替波特芬在BCa中的作用。

总之,我们的研究表明,PLAGL2的上调与BCa的不利生存有关,PLAGL2缺乏显著抑制BCa细胞的增殖和转移。此外,PLAGL2抑制Hippo通路,促进YAP1/TAZ的核易位,并通过racgap1介导的RhoA激活增加YAP1/TAZ活性。最后,给予辛伐他汀或维替波芬对BCa的进展有显著的抑制作用。因此,PLAGL2/RACGAP1/RhoA GTPase/YAP1信号是BCa治疗的潜在关键靶点。(转化医学网360zhyx.com)

参考资料:

https://www.nature.com/articles/s41419-023-05970-2

注:本文旨在介绍医学研究进展,不能作为治疗方案参考。如需获得健康指导,请至正规医院就诊。

评论:
评 论
共有 0 条评论

    还没有人评论,赶快抢个沙发


Baidu
map