推荐活动

攻克“聪明肿瘤”耐药性!广州大学研究发现靶向肝癌新策略

首页 » 《转》译 2023-05-31 转化医学网 赞(2)
分享: 
导读
肝癌化疗效果不佳,严重副作用严重可导致肝损伤,使患者遭受巨大痛苦。因此,迫切需要确定使肝癌细胞对化疗敏感的靶点,并探索减轻副作用和耐药性的联合策略。

5月30日,广州大学生命科学院研究团队在《Nature Communications》上发表研究论文“Lysyl oxidase-like 3 restrains mitochondrial ferroptosis to promote liver cancer chemoresistance by stabilizing dihydroorotate dehydrogenase”,研究揭示了低剂量奥沙利铂与DHODH抑制剂来氟米特联合使用通过诱导铁死亡有效抑制肝癌进展,增加化疗敏感性并降低化疗毒性

https://www.nature.com/articles/s41467-023-38753-6#Abs1

研究背景

肿瘤细胞,特别是肝癌细胞,对奥沙利铂等化疗药物的反应促使它们能够存活、生长和增殖。由对细胞凋亡的适应性耐受引起的肿瘤细胞化学抵抗可以通过诱导铁死亡来治疗。因此,有必要探索一种新型的细胞死亡,为克服化疗耐药性和减少毒副作用提供有效的策略

铁死亡,一种调节细胞死亡的模式,其特征是铁依赖性脂质过氧化积累,与包括癌症在内的疾病的进展密切相关。铁死亡在机械和形态上与其他形式的细胞死亡不同,例如细胞凋亡,因此,它在癌症治疗方面具有巨大的潜力。由对细胞凋亡的适应性耐受引起的肿瘤细胞化学抵抗可以通过诱导铁死亡来治疗。因此,确定用于肝癌化疗的药物(如奥沙利铂)是否可以诱导肝癌细胞的铁死亡将是有趣的。目前,已经发现了几种铁死亡抑制途径,包括GPX4介导的磷脂氢过氧化物(PLOOHs)的还原,铁死亡抑制蛋白1(FSP1)-泛醌系统,以及角鲨烯介导的脂质过氧化抑制,我们想知道由细胞外基质酶组成的LOX家族是否参与调节肿瘤细胞中的铁死亡

研究进展

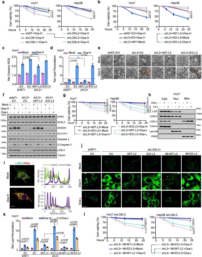
为了研究肝癌中LOX家族与化疗耐药性之间的关联,我们首先敲低了肝细胞癌(HCC)细胞中的LOX家族成员,不影响其存活率。接下来,当我们用奥沙利铂和5-Fu处理基因操纵的细胞时,LOXL3耗竭使肝癌细胞对这些药物敏感,而LOX家族其他成员的耗竭对化疗耐药性没有显著影响。与此一致的是,LOXL1缺陷细胞表现出较高的细胞死亡和较低的IC3值,这代表了药物治疗下癌细胞的化学耐药性状态较低。同时,我们通过使用两种靶向LOXL1的shRNA进一步证实了LOXL3对化疗耐药性的作用,以避免脱靶效应。此外,我们还排除了LOXL1耗竭影响其他LOX成员表达的可能性用酶死(ED)-LOXL1拯救的LOXL3缺陷细胞在化疗后表现出细胞活力降低,证明LOXL3赖氨酰氧化酶活性参与化学耐药性

LOXL3线粒体定位和酶活性赋予肝癌细胞对化疗诱导的铁死亡的耐受性

在癌细胞中,大多数化疗药物会产生稳定的活性氧(ROS),活性氧在调节细胞死亡和耐药性方面起着重要作用。在研究中,奥沙利铂治疗诱导肝癌细胞中产生稳健的ROS。而LOXL3缺乏仅略微改变胞质ROS水平,在奥沙利铂处理下的LOXL3缺陷细胞中脂质过氧化显著升高。由于铁死亡被认为是一种新的细胞死亡形式,其特征是依赖于ROS生成的严重铁依赖性脂质过氧化,我们进一步评估了LOXL1缺陷细胞调节的铁死亡是否响应奥沙利铂治疗。通过透射电子显微镜,观察到铁死亡的特征,例如线粒体脊明显减少的致密线粒体结构和线粒体体积较小。此外,为了进一步构象,我们添加了铁死亡抑制剂铁抑素-1,其阻断了奥沙利铂诱导的LOXL1耗竭细胞中的铁死亡。值得注意的是,经典的铁死亡诱导剂Erastin表型复制了奥沙利铂诱导的铁死亡

接下来,我们依次研究证实了LOXL1缺陷或ED-LOXL3的细胞比表达野生型(WT)-LOXL3的细胞对正常或低剂量的奥沙利铂更敏感;线粒体LOXL3表现出比胞质LOXL3更高的活性,而LOXL3活性被奥沙利铂上调;这意味着线粒体对奥沙利铂反应中较高的LOXL1活性受上游信号传导和线粒体中LOXL3强度的协同控制。

综上所述,LOXL3部分位于线粒体中,在药物治疗下表现出增加的线粒体进入和酶活性。这可能帮助癌细胞通过LOXL3 / DHODH轴抵抗化疗诱导的脂质过氧化和铁死亡。重要的是,LOXL3缺乏使肝癌细胞对低剂量奥沙利铂治疗敏感,毒性降低,肿瘤杀伤效果提高

研究意义

总之,本研究表明,LOXL3是LOX家族的成员,通过其高线粒体活性水平参与抗线粒体铁死亡,AK2上调。LOXL3的高活性竞争占据了DHODH-K344并减弱K344处的DHODH泛素,进而诱导线粒体DHODH的积累。这进一步赋予了对化疗药物(如奥沙利铂)诱导的线粒体铁死亡的抵抗力。最后,低剂量奥沙利铂与DHODH抑制剂来氟米特联合使用,有效地损害了肝癌的进展,延长了小鼠的存活时间

参考资料:

https://www.nature.com/articles/s41467-023-38753-6#Abs1

注:本文旨在介绍医学研究进展,不能作为治疗方案参考。如需获得健康指导,请至正规医院就诊。

评论:
评 论
共有 0 条评论

    还没有人评论,赶快抢个沙发


Baidu
map