推荐活动

【STTT】再取进展!中山大学李孟鸿等研究发现结直肠癌治疗新靶点

首页 » 《转》译 2023-05-19 转化医学网 赞(2)
分享: 
导读
连续的新生脂肪酸合成是肿瘤生物合成需求所必需的。FBXW7是CRC中高度突变的基因,但其在癌症中的生物学功能尚未完全表征。

5月19日,中山大学李孟鸿等在《Signal Transduction and Targeted Therapy》在线发表题为“FBXW7βloss-of-function enhances FASN-mediated lipogenesis and promotes colorectal cancer growth”的研究论文,研究表明CSN6-FASN轴重编程脂肪生成以促进肿瘤生长,是CRC癌症干预策略的靶标。

从机制上看,CSN6与FBXW7β和FASN均缔合,并通过增强FBXW7β自泛素化和降解来拮抗FBXW7β的活性,从而阻止FBXW7β介导的FASN泛素化和降解,从而积极调节脂肪生成。CSN6和FASN在CRC中均呈正相关,由EGF调控的CSN6-FASN轴是CRC预后不良的原因。EGF-CSN6-FASN轴促进肿瘤生长,并暗示奥利司他和西妥昔单抗组合的治疗策略。患者来源的异种移植实验证明了使用奥利司他和西妥昔单抗联合治疗CSN6/FASN高CRC肿瘤生长的有效性。

https://www.nature.com/articles/s41392-023-01405-8

CSN6重编程脂肪生成以促进癌细胞和PDO的生长

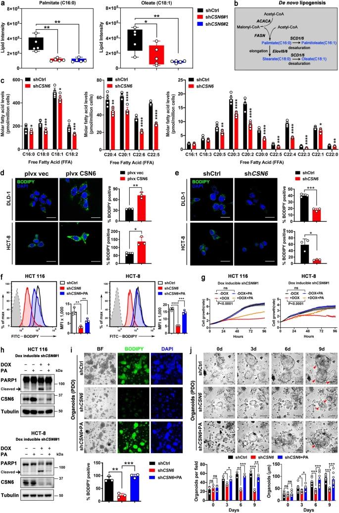
为了研究CSN6在CRC肿瘤发生过程中的功能,我们探讨了其在癌症标志中的调节作用,重点是代谢重编程。我们使用质谱法在CSN6敲低(KD)细胞中进行非靶向脂质组学分析。脂质组学谱被归一化为各自的内标,结果显示脂肪酸合成显著下调,与对照组相比,CSN16 KD细胞中棕榈酸酯(C0:18)和油酸酯(C1:6)的含量较低。此外,LC-MS对细胞的代谢物分析表明,CSN6 KD后一系列游离脂肪酸(FFA)显著减少,包括最主要的饱和脂肪酸棕榈酸酯和硬脂酸酯。使用亲脂性荧光染料BODIPY 493/503进行细胞内染色进一步支持了这些结果。

CSN6参与脂肪生成,以促进CRC细胞系和患者来源类器官的生长。

与此一致,流式细胞术研究还表明,与对照组相比,CSN6 KD降低了BODIPY染色。有趣的是,CSN6 KD介导的BODIPY染色强度降低可以通过补充棕榈酸酯(脂质合成的关键产物)来部分恢复。CSN1 KD抑制细胞生长、细胞凋亡、菌落形成减少和细胞迁移减少,并再次减弱了这些现象。除此之外,我们还生成了患者来源的类器官(PDO)。来自CRC患者标本。PDO中的CSN6 KD减少了脂质积累(BODIPY染色)以及类器官形成(数量和大小)(。在这种情况下,补充棕榈酸酯可以再次挽救脂质量并缓解PDO生长抑制。这些数据表明,CSN6在发挥脂质积累活性方面至关重要,从而影响肿瘤细胞生长、细胞凋亡和PDO生长,这表明CSN6高表达导致脂质储存增加,而CSN6 KD降低了细胞中的脂质含量。

研究意义

综上所述,本研究证明了CSN6表达、FBXW7β泛素化、FASN稳定性、FA合成和致瘤性之间的关系。CSN6通过FBXW7β调控FASN稳定性的影响阐明了关于FASN在致瘤性过程中激活的新调控层。鉴于FBXW7β是一种肿瘤抑制因子,我们发现FBXW7β是脂肪生成调节电路的关键组成部分,重新说明了脂肪生成与癌症之间的联系。进一步开发促进FBXW7β介导的FASN降解或抑制CSN6 / FASN活性的化合物可以进一步开发为CSN6高表达癌症的治疗设计(转化医学网360zhyx.com)

参考资料:

https://www.nature.com/articles/s41392-023-01405-8

注:本文旨在介绍医学研究进展,不能作为治疗方案参考。如需获得健康指导,请至正规医院就诊。

评论:
评 论
共有 0 条评论

    还没有人评论,赶快抢个沙发


Baidu
map