细胞疗法不再“高冷”——遏制CAR-T毒副作用有新招
| 导读 | 目前,CAR-T细胞疗法在白血病和淋巴瘤治疗领域取得了重要突破,被认为是最有前景的肿瘤治疗方式之一。但是,相较于同为免疫疗法的免疫检查点抑制剂,阻碍其发展的最大拦路石就是其毒副作用。 |
作者:Ruthy 编辑:Carrie
目前,CAR-T细胞疗法在白血病和淋巴瘤治疗领域取得了重要突破,被认为是最有前景的肿瘤治疗方式之一。但是,相较于同为免疫疗法的免疫检查点抑制剂,阻碍其发展的最大拦路石就是其毒副作用。近日,北京大学肿瘤医院与南加州大学的研究人员开发出了全新的CAR-T疗法,在不损伤CAR-T疗效的基础上将毒副作用降至最低!
CAR-T——“高岭之花”,能摘者寥
CAR-T,全称是Chimeric Antigen Receptor T-Cell Immunotherapy,嵌合抗原受体T细胞免疫疗法。这是一个有多年历史,但是近几年才被改良应用到临床上的新型细胞疗法,基本原理就是利用病人自身的免疫细胞来清除癌细胞,其中嵌合抗原受体(CAR)是CAR-T的核心部件,赋予T细胞以HLA非依赖的方式识别肿瘤抗原的能力,这使得经过CAR改造的T细胞相较于天然T细胞能够识别更广泛的目标。
目前,CAR-T虽然在血液肿瘤中显示出令人惊喜的疗效,但对其他类型的肿瘤患者仍非可期佳音,因为其在本家肿瘤——ALL的治疗中依然存在令人瑟瑟发抖的毒副作用,因此自然成为令人可望不可即的“高岭之花”。
所以说,CAR-T临床研究最大的障碍是其严重的毒副作用,而细胞因子释放综合征(CRS)和神经毒性更是其中的佼佼者。CRS是一种致命的失控的全身炎症反应,最常见于一些使用免疫相关生物治疗药物的患者,临床表现可从非特异性的临床表现到严重危机生命的综合征。
研究显示,CAR-T细胞的输注剂量与严重的神经毒性风险有关,神经毒性的发生率为20-64%,其中13-52%的病例≥3级,其发生的确切机制尚未完全阐明。想让CAR-T最大范围地惠及肿瘤患者,就必须实现疗效和安全性两全。
助力CAR-T“变身”,遏制毒副作用
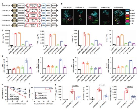
研究人员进行了大规模的抗原筛选,发现一种嵌合抗原受体——CD19-BBz(86)在带瘤小鼠模型中有强劲的灭癌作用,同时其免疫毒副作用相较于传统CAR-T疗法少之又少。
研究人员利用CD19-BBz(86)对现有CAR-T进行改造,让CAR-T成功“变身”,使其携带CD19-BBz(86)特性,并在25名ALL患者中进行了一项小型的早期临床试验。结果显示,在低剂量和中等剂量治疗的患者中,一半出现了临床缓解;在11名接受高剂量治疗的患者中,8人实现了临床缓解(其中6人完全缓解,2人部分缓解),这就说明CD19-BBz(86)CAR-T疗法的疗效有保证。
CD19-BBz(86)CAR-T产生更少的细胞因子
ALL患者在CD19-BBz CAR-T治疗下获得临床缓解
研究显示,CD19-BBz(86)CAR-T产生的细胞因子远远少于传统CAR-T疗法,这就显著降低CRS发生的风险了。结果令人振奋,在25名患者中,1级以上的CRS和神经毒性的发生率皆为0!没有一名患者需要药物控制毒副作用!也就是说,研究人员利用CD19-BBz(86)对现有CAR-T的改造实现了疗效和安全性的双赢!
这项研究带来了最大程度降低CAR-T疗法毒副作用的新希望!虽然只有25人的实验数据,但这无疑提示了改造嵌合抗原受体是进一步优化细胞疗法的重要手段,为CAR-T治疗的发展提供了巨大助力!假以时日,定能有更多肿瘤患者获益于CAR-T疗法,我们静候佳音。
参考文献:
Zhitao Ying,et al.A safe and potent anti-CD19 CAR T cell therapy.Nature Medicine (2019) .
推荐内容

近年来,随着肿瘤基础与临床研究领域新技术新方法不断革新,癌症研究和临床诊断治疗取得了重大进展。为了进一步推动癌症诊治技术、方法创新,促进基础研究向临床和产业转化,延续首届会议“传承,创新,卓越,引领”的主题,第二届上海国际癌症大会将于2019年10月11-13日在上海召开。我们诚挚地邀请您参加本次大会,共同努力打造高端的学术交流平台,为海内外同道们搭建肿瘤基础、临床与转化协作和友谊的桥梁。期待10月,我们上海见!
Nature:绝杀实体瘤!CAR-T细胞强势归来!
(转化医学网360zhyx.com)
腾讯登录
还没有人评论,赶快抢个沙发