推荐活动

《Nature》子刊:新的生物标记物可预测PD-1疗法效果!

首页 » 《转》译 2018-01-15 转化医学网 赞(3)
分享: 
导读
如今基于免疫系统的正常功能靶向作用,免疫疗法可以有效的治疗黑素瘤和肺癌。而特定抑制剂可以激活免疫细胞,使其能够特定的识别癌细胞并消灭它们。免疫疗法可以控制多达50%的患者的癌细胞,在某些情况下甚至可以完全治愈。

近日,苏黎世大学的研究人员确定了血液中新的生物标志物,从而可以预测癌症患者是否可能对免疫疗法有积极反应对于被预测出免疫治疗无效的患者可以在早期及时采用其他不同治疗方法。该项研究以《High-dimensional single-cell analysis predicts response to anti-PD-1 immunotherapy》为题发表在《nature medicine》

 

并非所有人都对免疫疗法有反应

虽然,免疫疗法似乎是癌症患者的福音,但大约有一半的患者对免疫疗法没有反应,却仍然要忍受治疗中带来的副作用。为此苏黎世大学和瑞士苏黎世大学医院(UZH)的研究人员通过在血液中识别出的生物标志物,希望在开始治疗之前就确定免疫疗法对患者是否有效,从而有针对性的开展治疗。

在做出免疫治疗的决定前,对患者进行生物标志物的分析可以有效提高免疫治疗对患者的有效率。”,来自UZH实验免疫学研究所的Burkhard Becher教授说到,”与此同时,提前预测可以让我们在免疫治疗方法不起作用的情况下,及时采取不同的方法,而不会失去宝贵的治疗时间。”

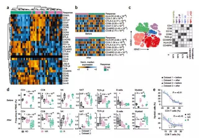
将对免疫治疗应答者和无应答者分组,用细胞分析术鉴定其免疫细胞群的差异


高维细胞分析

研究人员与苏黎世大学皮肤病学学院携手合作,对20名患者的40个血液样本进行了生物标志物检测,样本分别来自于20名患者在接受免疫治疗前和手术12周后。研究采用了高维的细胞分析方法(Cy-TOF),该方法对每个细胞每次可分析多达50种不同蛋白质。研究人员能够区分每一个细胞并记录其激活的sta-tus,甚至对患者样本的细微差别也能进行了详细记录。

 

T细胞活化状态和T细胞亚群在抗pd -1治疗12周前后的频率差异

计算机分子模式识别

在分析了这些细胞后,研究人员与UZH瑞士生物信息学研究所研究者一起对这些数据进行了分析,并以分子模式来预测治疗是否成功。在开始治疗之前,研究人员就能观察到血液中免疫微妙和细微的免疫反应,并确认这个分子模式,如免疫细胞CD14 + CD16−HLA-DRhiBurkhard Becher说:“为了便于验证,生物标志物应该易于检测,事实上,一组超过30人独立组群的血细胞计数可以用常规方法在一秒钟进行验证。”

精准医疗的曙光

苏黎世大学的皮肤科教授Mitch Levesque说:“这项研究与全面精确的结构生物研究相结合,是迈向精准医疗的重要一步。”在临床上使用之前,获得的研究成果必须先应用于具有较高患者数量的独立研究中。在临床决策支持和发展新的治疗方法时,使用生物标记、高维细胞术和计算机辅助模式识别也将有所建树。(转化医学网360zhyx.com)

参考文献:

1.New biomarkers predict outcome of cancer immunotherapy.

2. Carsten Krieg, Malgorzata Nowicka, Silvia Guglietta, Sabrina Schindler, Felix J Hartmann, Lukas M Weber, Reinhard Dummer, Mark D Robinson, Mitchell P Levesque & Burkhard Becher. High-dimensional single-cell analysis predicts response to anti-PD-1 immunotherapy. Nature Medicine, 8 January 2018. 

评论:
评 论
共有 0 条评论

    还没有人评论,赶快抢个沙发


Baidu
map