重磅研究!天津医科大学余鹰/申毓军/周洁团队发现脓毒症中起关键免疫调控作用的信号通路,开发精准靶向纳米药物或成脓毒症治疗新策略
| 导读 | 这项研究标志着我们对脓毒症复杂免疫网络的理解更进一步。 |
3月3日,天津医科大学余鹰/申毓军/周洁团队在国际知名期刊《Signal Transduction and Targeted Therapy》发表一项重磅研究,为攻克脓毒症这一危重疾病的治疗困境带来了新曙光。研究团队首次系统揭示脓毒症中树突状细胞(DCs)的TP受体信号通路起着关键的免疫调控作用。该通路的激活能像“精准刹车”一样,抑制过度炎症反应,而它的功能受损则会加剧疾病。基于此发现,研究人员成功开发出一种可精准靶向树突状细胞的纳米药物,在动物模型中显著改善了脓毒症预后。这为开发脓毒症的精准免疫治疗策略提供了全新的理论依据和极具潜力的候选方案。
核心发现:TP受体表达下降是脓毒症加重的关键

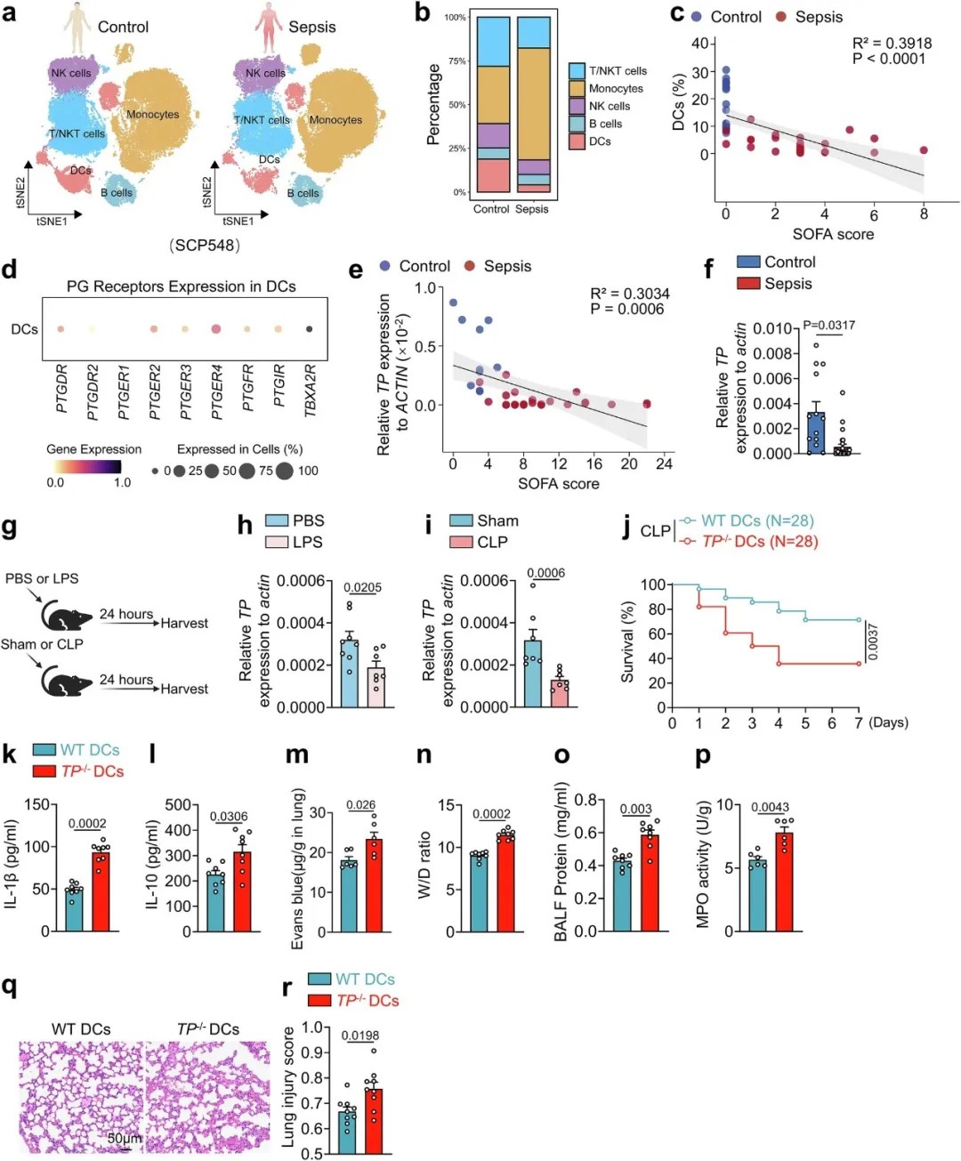
树突状细胞中TP受体表达与脓毒症严重程度呈负相关
脓毒症,俗称“血液感染”,是机体对感染反应失调导致的危及生命的器官功能障碍。研究团队首先在临床数据中发现,脓毒症患者血液中的树突状细胞数量与疾病严重程度呈显著负相关。更重要的是,这些患者的树突状细胞内,TP受体的表达水平明显低于健康人,且TP表达越低,患者血液中的中性粒细胞计数越高,病情也越重。
这一现象在动物模型中得到证实。研究人员构建了树突状细胞特异性缺失TP受体的小鼠,发现其在两种经典的脓毒症模型中,死亡率显著升高,肺部炎症、水肿及中性粒细胞浸润均更为严重。这直接证明了树突状细胞上的TP受体是抵御脓毒症恶化的一个关键分子。

在树突状细胞中敲除TP会加剧CLP(盲肠结扎穿孔)和LPS(脂多糖)诱导的小鼠脓毒症
机制解析:TP受体如何充当“免疫刹车”?

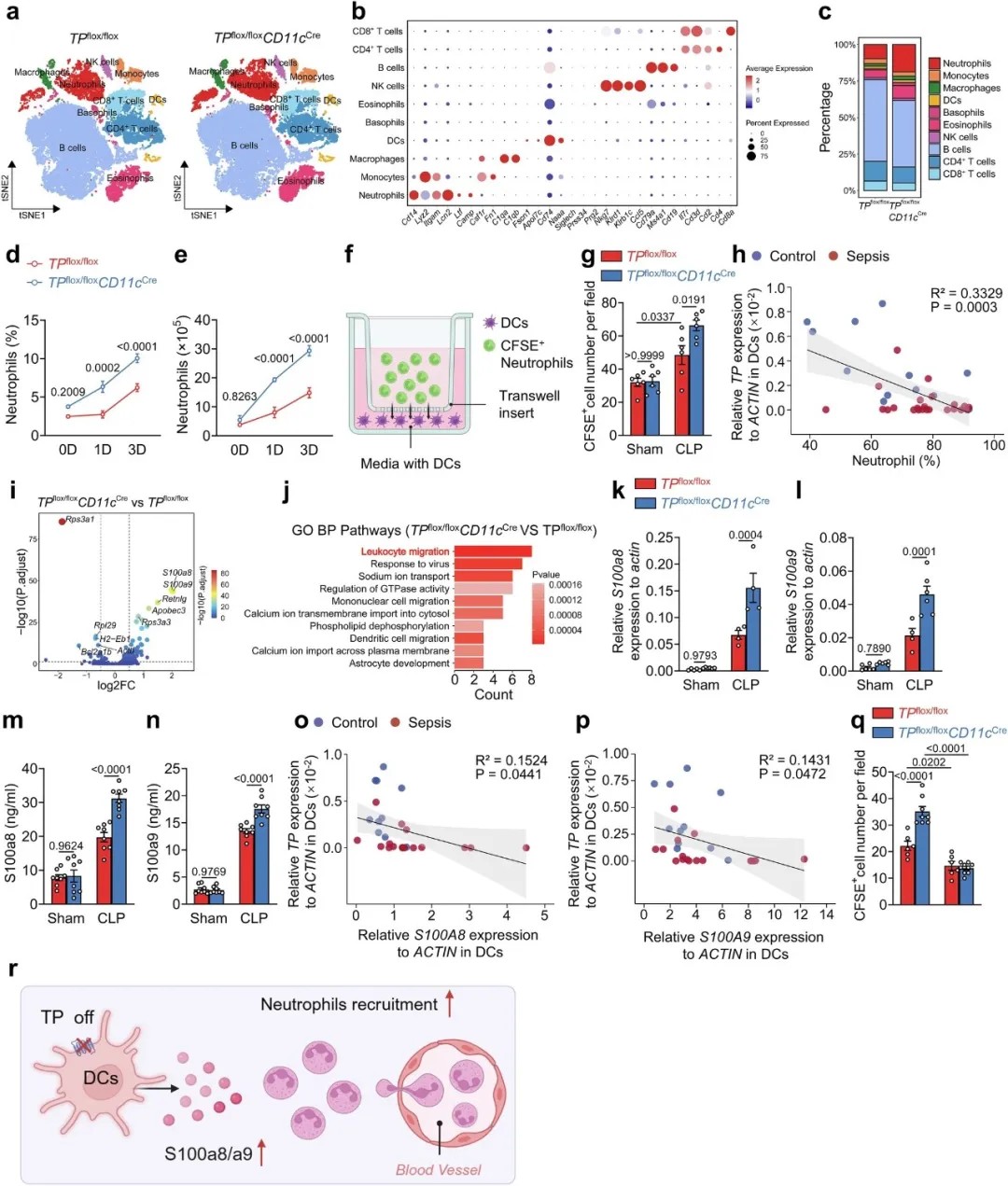
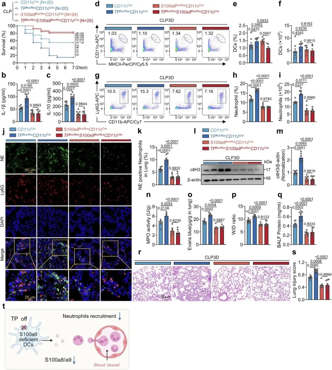
TP缺陷通过增加S100a8/a9表达来增强中性粒细胞募集
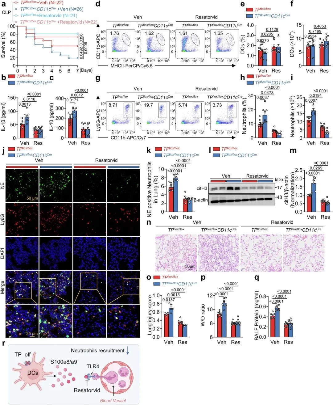
为了解开TP受体保护作用的奥秘,研究团队进行了深入探索。他们发现,当树突状细胞缺失TP受体时,会大量分泌一对名为S100a8/a9的警报蛋白(DAMPs)。S100a8/a9通过结合并激活免疫细胞表面的Toll样受体4(TLR4),像“集结号”一样,强力招募并过度激活中性粒细胞。
这些被异常招募的中性粒细胞不仅本身造成组织损伤,还会形成名为“中性粒细胞胞外陷阱(NETs)”的网状结构,进一步加剧器官(尤其是肺部)损伤。研究证实,无论是通过基因手段敲除树突状细胞的S100a9,还是使用药物阻断S100a8/a9或其受体TLR4,都能有效挽救TP缺陷小鼠,显著降低其死亡率、减轻炎症和组织损伤。
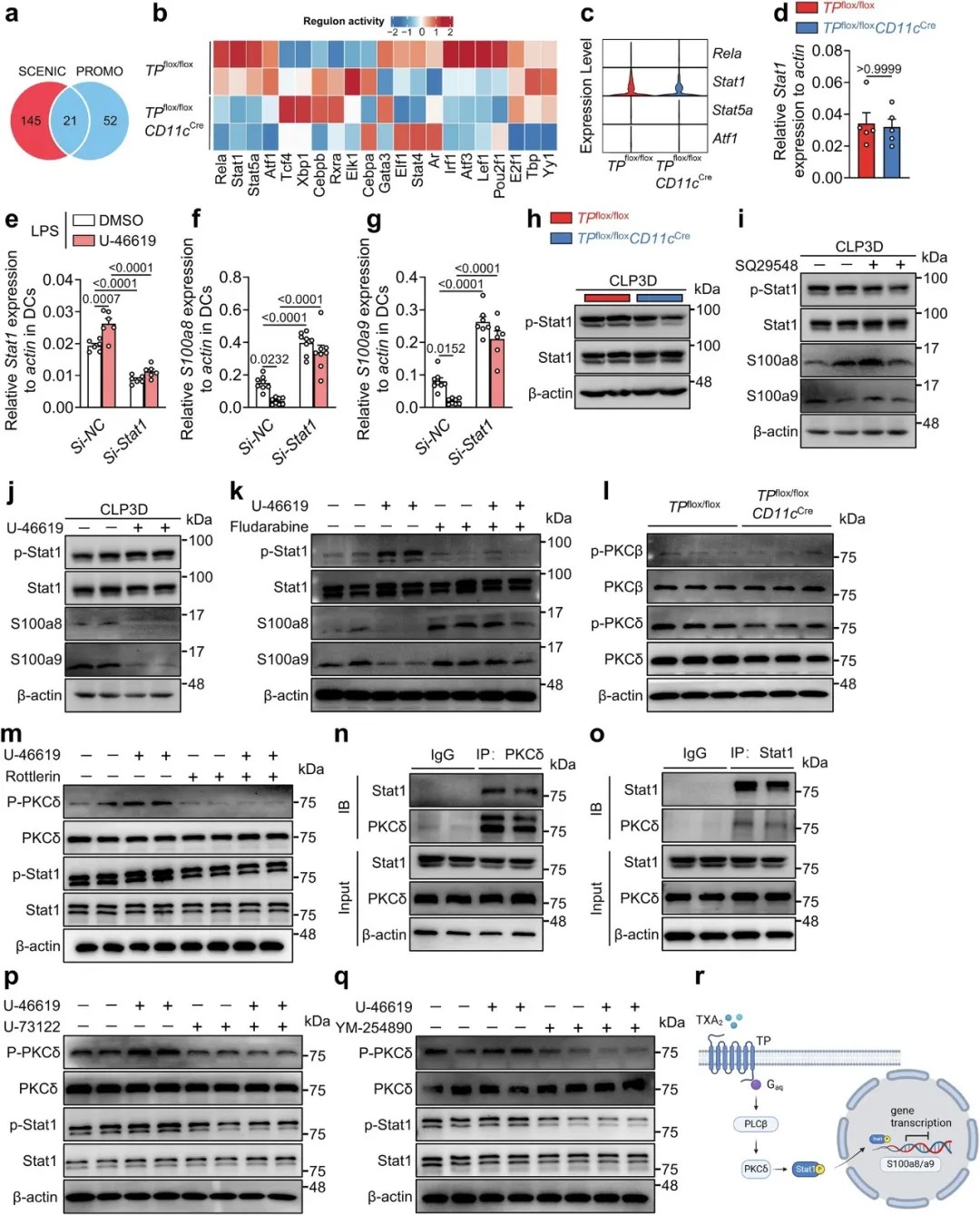
在分子通路上,研究揭示TP受体通过激活其下游的PKCδ激酶,进而磷酸化并激活转录因子Stat1。活化的Stat1进入细胞核,直接抑制S100a8/a9基因的转录。因此,TP信号就像一道指令,持续压制着S100a8/a9这个“炎症放大器”的表达。

在树突状细胞中删除S100a9可缓解CLP诱导的小鼠脓毒症
临床转化:精准靶向树突状细胞的纳米药物显疗效

阻断S100a8/a9受体(TLR4)可缓解脓毒症
机制的阐明为药物研发指明了方向。然而,传统的TP受体激动剂可能产生广泛的副作用。为实现精准干预,研究团队创新性地设计了一种靶向纳米药物——DCpep-U-46619。该药物由能特异性结合树突状细胞的靶向肽(DCpep)与TP受体激动剂(U-46619)自组装而成,可实现“精准导航”递送。
在脓毒症小鼠模型中,静脉注射DCpep-U-46619能高效富集于树突状细胞。治疗显著提升了小鼠的生存率,有效降低了血液中的炎症因子水平,并明显减少了中性粒细胞向脾脏和肺部的浸润以及NETs的形成,从而大幅减轻了肺损伤。这种保护作用在TP缺陷小鼠中消失,证实了其疗效是通过特异性激活树突状细胞上的TP受体实现的。

TP激活通过PKCδ/Stat1信号通路抑制S100a8/a9转录

特异性激活树突状细胞中的TP可减轻CLP诱导的小鼠脓毒症
研究意义与未来展望
该研究不仅首次揭示了树突状细胞TP-S100a8/a9轴在脓毒症免疫失衡中的核心调控作用,更重要的是,它提供了一种精准递送策略,通过将TP激动剂精确投送至病变的关键免疫细胞——树突状细胞,既能重编程免疫反应、抑制有害的过度炎症,又可能规避给药的副作用。
这项研究标志着我们对脓毒症复杂免疫网络的理解更进一步,并为开发针对特定免疫细胞和通路的精准疗法带来了新的希望,有望未来为脓毒症患者提供更有效、更安全的治疗选择。(转化医学网360zhyx.com)
原文链接:
https://www.nature.com/articles/s41392-026-02592-w
【关于投稿】
转化医学网(360zhyx.com)是转化医学核心门户,旨在推动基础研究、临床诊疗和产业的发展,核心内容涵盖组学、检验、免疫、肿瘤、心血管、糖尿病等。如您有最新的研究内容发表,欢迎联系我们进行免费报道(公众号菜单栏-在线客服联系),我们的理念:内容创造价值,转化铸就未来!
转化医学网(360zhyx.com)发布的文章旨在介绍前沿医学研究进展,不能作为治疗方案使用;如需获得健康指导,请至正规医院就诊。
责任声明:本稿件如有错误之处,敬请联系转化医学网客服进行修改事宜!
微信号:zhuanhuayixue
腾讯登录
还没有人评论,赶快抢个沙发