徐瑞华教授领衔!奥雷巴替尼在一种胃肠道间质瘤亚型中展现卓越疗效,中位无进展生存期显著提升,并揭示其通过调节脂质代谢调控新机制
| 导读 | 目前,研究团队正开展进一步机制探索和联合治疗研究,旨在为这类罕见肿瘤患者开发更有效的治疗策略。 |
11月4日,由中山大学肿瘤防治中心徐瑞华教授领衔的一项临床1b期研究成果发表在国际顶级期刊《信号转导与靶向治疗》(Signal Transduction and Targeted Therapy,IF=52.7)。研究首次证实新型多激酶抑制剂奥雷巴替尼在琥珀酸脱氢酶(SDH)缺陷型胃肠道间质瘤(GIST)治疗中展现卓越疗效,其中位无进展生存期(PFS)达到25.7个月,较传统治疗方案显著提升。该研究不仅是目前全球规模最大的琥珀酸脱氢酶缺陷型胃肠道间质瘤前瞻性临床试验,更通过多组学分析首次揭示该药物通过调控脂质代谢发挥抗肿瘤作用的全新机制。

研究设计与患者分布
破解临床难题:罕见肿瘤治疗现曙光

奥雷巴替尼在琥珀酸脱氢酶缺陷型胃肠道间质瘤患者中的抗肿瘤疗效
琥珀酸脱氢酶缺陷型胃肠道间质瘤占所有胃肠道间质瘤的5%-7.5%,好发于青少年和年轻人群,其对伊马替尼等标准靶向药物普遍耐药,既往治疗方案中位PFS仅6-10个月。本研究是迄今为止针对琥珀酸脱氢酶缺陷型胃肠道间质瘤规模最大的前瞻性临床试验。纳入26例TKI治疗失败的琥珀酸脱氢酶缺陷型胃肠道间质瘤患者,结果显示奥雷巴替尼治疗组客观缓解率(ORR)达23.1%,临床获益率(CBR)高达84.6%,且所有患者1年生存率为100%。更令人振奋的是,研究团队发现奥雷巴替尼对经多线治疗的患者依然有效,超过60%的入组患者曾接受至少两种TKI治疗,但其中位PFS仍达到25.7个月,这为晚期患者提供了新的生存希望。
机制创新:首次揭示脂质代谢调控作用

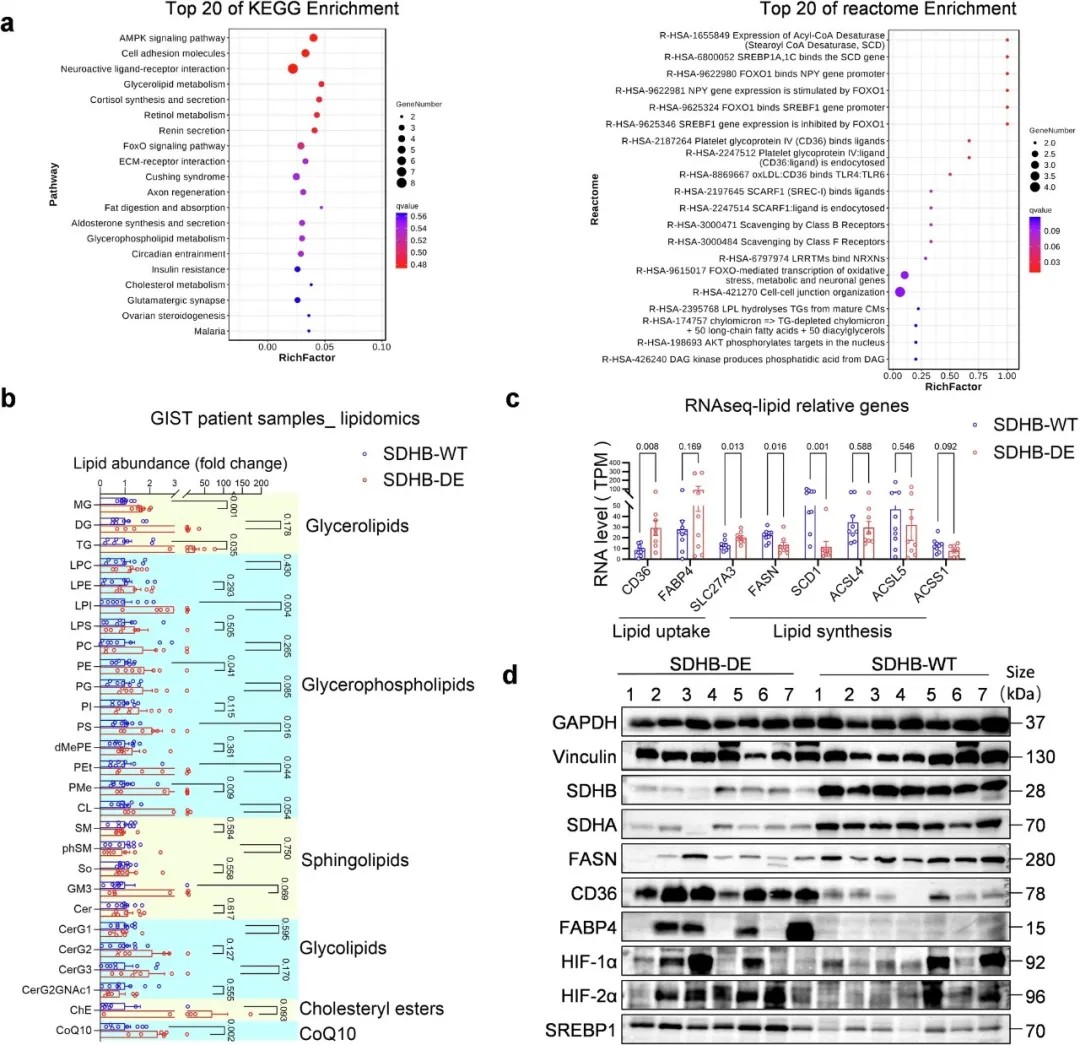
琥珀酸脱氢酶缺陷型胃肠道间质瘤中的脂质代谢差异
通过RNA测序和脂质组学分析,研究团队发现琥珀酸脱氢酶缺陷型胃肠道间质瘤存在显著的脂质代谢重编程。相较于非琥珀酸脱氢酶缺陷型肿瘤,其脂质摄取相关基因CD36、FABP4等表达显著上调,肿瘤细胞内脂滴积累增加。琥珀酸脱氢酶缺陷型肿瘤细胞就像脂质成瘾者,高度依赖外源性脂质维持生存,奥雷巴替尼能够特异性抑制脂质转运蛋白CD36的表达,切断肿瘤的能量供给线。研究通过体外实验证实,在低脂培养环境下,琥珀酸脱氢酶缺陷型肿瘤细胞对奥雷巴替尼的敏感性显著增强。
多靶点协同:立体化攻击肿瘤

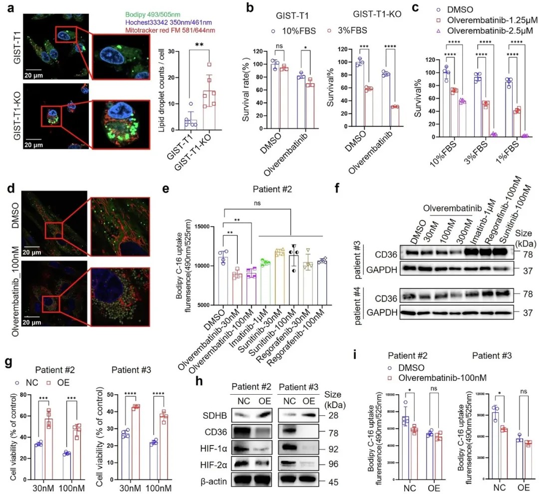
SDHB敲除增强胃肠道间质瘤细胞脂质摄取,奥雷巴替尼可逆转此效应
除脂质代谢调控外,研究还验证了奥雷巴替尼的多靶点抑制能力。该药物可同时抑制HIF-1α/2α、VEGFR、FGFR等关键信号通路,其中对FGFR1-4和VEGFR1-3的半数抑制浓度(IC50)均低于0.6 nM。在SDHB敲除的肿瘤细胞中,奥雷巴替尼处理组caspase-3切割增加,表明可有效诱导肿瘤细胞凋亡。

奥雷巴替尼在琥珀酸脱氢酶缺陷型胃肠道间质瘤中可能的作用机制
临床应用前景可期
安全性分析显示,奥雷巴替尼不良反应以1-2级为主(93.9%),主要表现为肝酶升高、白细胞增多等,无患者因不良事件终止治疗。该研究为琥珀酸脱氢酶缺陷型胃肠道间质瘤的精准治疗提供了新范式,其揭示的脂质代谢机制也为其他琥珀酸脱氢酶缺陷型肿瘤(如副神经节瘤)的治疗提供了新思路。目前,研究团队正开展进一步机制探索和联合治疗研究,旨在为这类罕见肿瘤患者开发更有效的治疗策略。(转化医学网360zhyx.com)
原文链接:
https://www.nature.com/articles/s41392-025-02456-9
【关于投稿】
转化医学网(360zhyx.com)是转化医学核心门户,旨在推动基础研究、临床诊疗和产业的发展,核心内容涵盖组学、检验、免疫、肿瘤、心血管、糖尿病等。如您有最新的研究内容发表,欢迎联系我们进行免费报道(公众号菜单栏-在线客服联系),我们的理念:内容创造价值,转化铸就未来!
转化医学网(360zhyx.com)发布的文章旨在介绍前沿医学研究进展,不能作为治疗方案使用;如需获得健康指导,请至正规医院就诊。
责任声明:本稿件如有错误之处,敬请联系转化医学网客服进行修改事宜!
微信号:zhuanhuayixue
腾讯登录
还没有人评论,赶快抢个沙发