又一前瞻性策略!中山大学团队发现诱导铁死亡可逆转肿瘤耐药性
| 导读 | 伊马替尼已被广泛用于胃肠道间质瘤,并显著改善了GIST患者的预后,但大约一半的患者会发展出获得性治疗耐药性,这凸显了新型治疗策略的紧迫性。 |
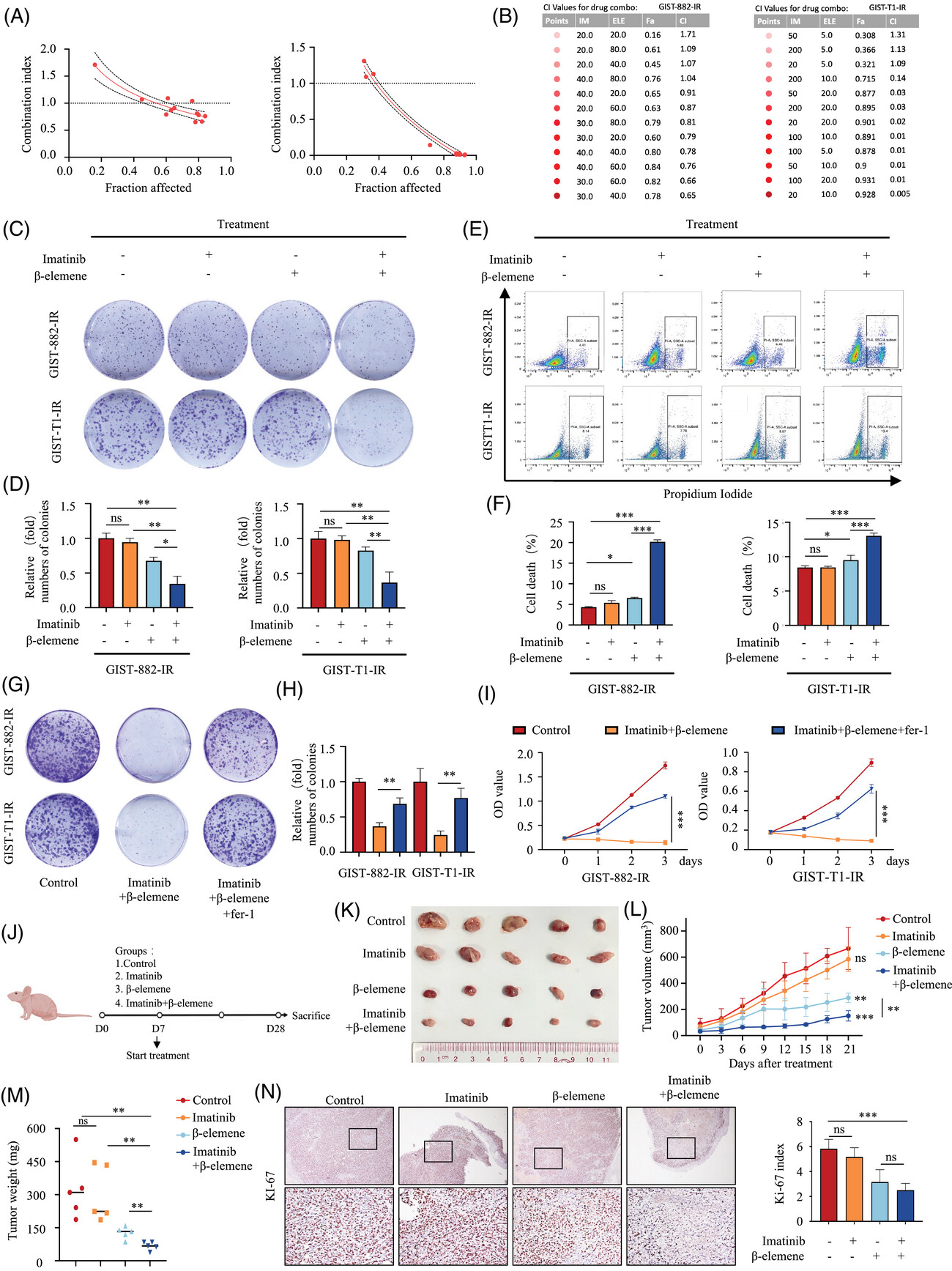
近日,中山大学研究团队在期刊《Clinical And Translational Medicine》上发表了研究论文,题为“β-elemene promotes ferroptosis to improve the sensitivity of imatinib in gastrointestinal stromal tumours by targeting N6AMT1”,本研究中,研究人员发现伊马替尼耐药的胃肠道间质瘤(GIST)与铁死亡活性的负向调节有关,诱导铁死亡可增强耐药细胞对伊马替尼的敏感性。此外,研究人员发现β-榄香烯通过诱导铁死亡增强伊马替尼耐药 GIST 细胞对伊马替尼的敏感性。而且,β-榄香烯与伊马替尼联合治疗在体外和体内均显示出显著高于单药治疗的抗肿瘤效果。从机制上讲,β-榄香烯特异性靶向 N6AMT1,抑制其转录抑制功能,并激活核红细胞 2 相关因子 2(NRF2)-HMOX1 信号通路以诱导铁死亡。

https://onlinelibrary.wiley.com/doi/10.1002/ctm2.70438
背景知识
01
胃肠道间质瘤(GIST)是胃肠道最常见的间质恶性肿瘤,估计每百万人中有 10 至 20 例。GIST 主要由 KIT 或 PDGFRA 基因突变引起。伊马替尼是一种靶向BCR-ABL、KIT 和 PDGFR 的酪氨酸激酶抑制剂,对 GIST 具有很强的抑制作用,已被批准作为 KIT 阳性 GIST 的一线治疗药物。然而,约 50% 的患者在使用伊马替尼治疗两年后出现耐药性。继发性突变在一定程度上解释了伊马替尼耐药的 GIST 中的耐药性,而约 40% 的患者没有继发性突变。对于没有继发性突变的患者,可用的治疗选择有限。这些疗法的整体疗效不佳。因此,分析伊马替尼耐药的分子机制极为紧迫,必须对其进行表征,以通过设计新型疗法来改善 GIST 患者的长期预后。
β-榄香烯通过铁死亡促进伊马替尼耐药性胃肠道间质瘤对伊马替尼的敏感性
02
为确定β-榄香烯与伊马替尼在胃肠道间质瘤(GIST)中的协同抗肿瘤效果,研究人员通过将不同浓度的药物组合作用于GIST-882-IR和GIST-T1-IR细胞48小时,评估了细胞的存活率。研究人员计算了每种组合治疗的CI值,以评估β-榄香烯与伊马替尼联合使用是否增强了细胞毒性。为了客观量化细胞死亡情况,研究人员进行了PI染色实验,并通过流式细胞术进行检测。PI 染色实验表明,当 GIST-882-IR 和 GIST-T1-IR 细胞暴露于β-榄香烯与伊马替尼的联合用药时,观察到的死亡细胞数量显著增加。此外,铁死亡抑制剂 Fer-1 显著阻断了联合治疗对集落形成和细胞活力的影响。这些结果表明,β-榄香烯和伊马替尼通过铁死亡表现出协同致死效应。

β-榄香烯通过铁死亡促进伊马替尼耐药性胃肠道间质瘤对伊马替尼敏感性
为了评估体外实验结果是否能在体内重现,研究人员从 GIST-T1-IR 细胞生成了 GIST CDX 模型。与体外的结果一致,伊马替尼和β-榄香烯在 CDX 模型中表现出协同作用。结果表明,伊马替尼和β-榄香烯单独使用时仅能轻微抑制肿瘤生长,而伊马替尼和β-榄香烯联合治疗则完全抑制了体内肿瘤的生长。免疫组化染色显示,伊马替尼和β-榄香烯联合治疗显著降低了 GIST 肿瘤的生长速度。综上所述,这些结果表明伊马替尼和β-榄香烯通过铁死亡表现出协同致死效应。
结论
03
综上,本研究表明,β-榄香烯可通过激活胃肠道间质瘤细胞中的 NRF2/HMOX1 通路,在体内和体外提高 Fe2+ 水平、丙二醛生成量和脂质过氧化水平。N6AMT1 是β-榄香烯的一个新靶蛋白,通过增加 NRF2 和 HMOX1 的表达,促进其促铁死亡作用。本研究结果表明,β-榄香烯作为一种有前景的治疗策略,可提高伊马替尼对胃肠道间质瘤的敏感性。(转化医学网360zhyx.com)
参考资料:
https://onlinelibrary.wiley.com/doi/10.1002/ctm2.70438
腾讯登录
还没有人评论,赶快抢个沙发