填补空白!哈尔滨医科大学发文:抑制胰腺癌细胞恶性行为的新机制
| 导读 | 糖酵解是胰腺癌(PC)中的一种特征性代谢途径。乳酸是组蛋白乳酸化的主要底物,导致组蛋白乳酸化水平的上调,这可能促进PC的进展。 |
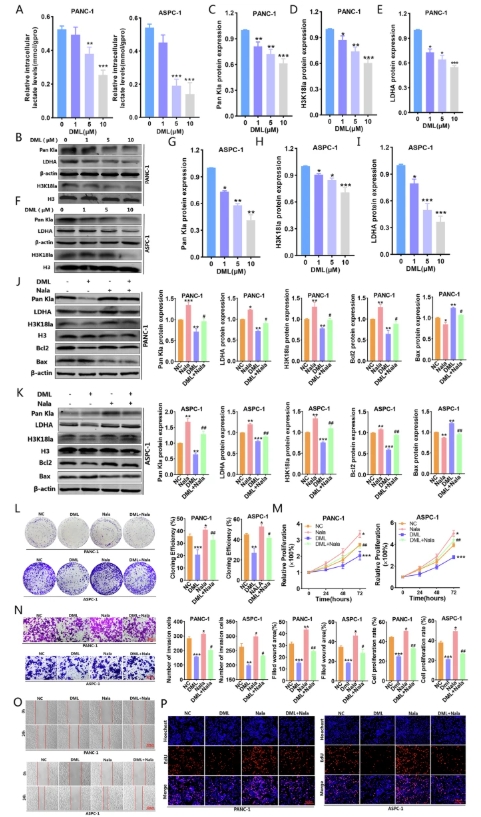
7月3日,哈尔滨医科大学研究团队在期刊《Cell Death Discovery》上发表了研究论文,题为“Demethylzeylasteral suppresses the expression of MESP1 by reducing H3K18la level to inhibit the malignant behaviors of pancreatic cancer”,本研究揭示了新的见解,表明胰腺癌(PC)组织和细胞中组蛋白 H3K18 乙酰化(H3K18la)水平升高。尤其是,从雷公藤中提取的天然化合物DML能显著降低 PC 细胞中的乳酸生成,进而导致 H3K18la 水平下调,并抑制 PC 细胞的侵袭性特征。为了进一步探究其潜在机制,研究人员对 DML 处理的细胞进行了 RNA 测序分析,并对 H3K18la 进行了染色质免疫沉淀测序(ChIP-seq)分析。研究人员首次发现MESP1是 DML 和 H3K18la 共同调节的靶蛋白。DML 被证明能抑制 MESP1 的表达,而乳酸钠(Nala)则能部分恢复其表达水平。MESP1 过表达与 PC 细胞的上皮间质转化(EMT)和细胞凋亡的促进有关。此外,MESP1 沉默后的 RNA 测序分析表明,其与 PC 细胞中的关键生理过程显著相关。而且,MESP1 还与多种癌症代谢途径相关。这项研究具有开创性意义,它表明 DML 通过下调 H3K18la 水平并降低致癌基因 MESP1 的表达来抑制胰腺癌细胞的恶性行为。

https://www.nature.com/articles/s41420-025-02603-9#Sec9
背景知识
01
胰腺癌(PC)是一种高度恶性的肿瘤,是全球癌症相关死亡的第七大原因。近年来,胰腺癌的发病率持续上升,预计到 2025 年,它将成为美国癌症相关死亡的第二大原因。过去四十年来,胰腺癌患者的生存率基本没有变化。目前普遍认为,胰腺癌的发生主要是由 KRAS 突变驱动的,约 90% 的胰腺癌患者存在这种突变。除了 KRAS,TP53、CDKN2A 和 Smad4 的显著突变分别在 80%、26% 和 25% 的患者中被发现。对原发肿瘤和匹配的转移组织进行测序的结果显示,驱动基因突变的高度一致性,这突显了非遗传性、转录重编程和表观遗传可塑性在胰腺癌转移级联中的重要作用。因此,阐明胰腺癌进展中表观遗传学的分子机制对于识别新的诊断和治疗靶点至关重要。
DML 通过限制乳酸合成而减少组蛋白乳酰化,从而损害胰腺癌细胞的生物学功能
02
先前的研究表明,二甲基乳酸(DML)能抑制肝癌细胞的乳酸生成,并具有抗肿瘤特性;然而,其在胰腺癌细胞中的作用尚未得到充分研究。乳酸测定和蛋白质印迹分析表明,DML 显著降低了乳酸脱氢酶 A(LDHA)的表达,以浓度依赖的方式降低了乳酸水平,并降低了组蛋白乳酸化水平。后续研究发现,DML 增强了 Bax 表达,降低了 Bcl2 表达,并促进了细胞凋亡率,而 Nala 能够部分抵消 DML 对组蛋白乳酸化的抑制作用,并减弱其促凋亡效应。功能测定显示,DML 显著降低了胰腺癌细胞的集落形成、增殖、迁移和侵袭能力,而 Nala 部分恢复了癌细胞的多种恶性生物学行为。这些结果表明,DML 降低了 LDHA 表达和乳酸合成,从而抑制组蛋白乳酸化水平,抑制胰腺癌细胞的增殖、迁移和侵袭,同时促进细胞凋亡。

DML 参与组蛋白乳酰化并抑制胰腺癌的进展
结论
03
在本次研究中,研究人员首次阐明了 DML 通过下调 H3K18la 来抑制胰腺癌进展的机制,进而降低下游癌基因 MESP1 的表达。这些发现阐明了 DML 对胰腺癌的抑制作用及其潜在机制,从而丰富了有关胰腺癌中组蛋白乳酰化的知识体系。本研究为 DML 作为胰腺癌临床治疗药物的应用提供了重要的理论基础,并开创了对 MESP1 表达、功能及机制的研究,填补了胰腺癌研究中的一个重要空白。(转化医学网360zhyx.com)
参考资料:
https://www.nature.com/articles/s41420-025-02603-9#Sec9
【关于投稿】
转化医学网(360zhyx.com)是转化医学核心门户,旨在推动基础研究、临床诊疗和产业的发展,核心内容涵盖组学、检验、免疫、肿瘤、心血管、糖尿病等。如您有最新的研究内容发表,欢迎联系我们进行免费报道(公众号菜单栏-在线客服联系),我们的理念:内容创造价值,转化铸就未来!
转化医学网(360zhyx.com)发布的文章旨在介绍前沿医学研究进展,不能作为治疗方案使用;如需获得健康指导,请至正规医院就诊。
责任声明:本稿件如有错误之处,敬请联系转化医学网客服进行修改事宜!
微信号:zhuanhuayixue
腾讯登录
还没有人评论,赶快抢个沙发