克服耐药!南方医科大学合作发文:揭示结直肠癌肝转移治疗新策略
| 导读 | 药物耐药性限制了治疗结直肠癌肝转移(CRLM)的化疗效果。然而,CRLM在药物治疗过程中的演变尚未得到充分阐明。 |
12月3日,南方医科大学与香港科技大学研究人员合作共同在期刊《Cell Reports Medicine》上发表了研究论文,题为“Genetic and microenvironmental evolution of colorectal liver metastases under chemotherapy”,本研究中,研究数据显示,在92%的病例中,基因组改变差异不大,而在转录组水平上则观察到显著差异。通过分离固有和获得性耐药性,研究人员发现肝细胞和髓系细胞浸润分别导致38.5%和23.1%的获得性耐药性。重要的是,SMAD4突变和chr20q拷贝数增加与固有化疗耐药性相关。基因干扰实验表明,SMAD4R361H/C突变通过STAT3信号通路赋予BVZ和5-氟尿嘧啶(5-FU)耐药性。值得注意的是,将BVZ和5-FU与STAT3抑制剂GB201联合使用可恢复SMAD4R361H/C癌细胞的治疗效果。本研究揭示了CRLM及其微环境在治疗过程中的进化动态,并提供了克服药物耐药性的策略。

https://www.cell.com/cell-reports-medicine/fulltext/S2666-3791(24)00609-8
背景信息
01
结直肠癌肝转移(CRLM)约占结直肠癌(CRC)相关死亡病例的70%。2004年,FDA批准贝伐珠单抗BVZ与化疗药物联合用于治疗转移性结直肠癌(mCRC)。自那时起,其应用范围已扩展至多种治疗方案,包括一线和交叉线治疗、辅助治疗和维持治疗。基于BVZ的化疗(BVZ-C疗法)目前被作为结直肠癌和CRLM的一线首选治疗。尽管取得了这些进展,但约50%的CRLM患者对治疗无反应,许多最初受益的患者会迅速复发。在CRLM患者中确定BVZ-C疗法响应者的预测生物标志物迫在眉睫,以优化治疗决策。
外显子和转录组测序技术极大地改变了我们对结直肠癌及其转移的理解。研究人员建立了结直肠癌及其转移癌的全面基因组图谱。随后基于表达的分析将结直肠癌分为四个共识分子亚型(CMS),具有独特的特征。最近,研究人员进一步拓展了我们对中国患者的认识,将肿瘤基因组异质性与不同的临床特征联系起来。然而,由于这些研究中缺乏治疗数据,因此与治疗反应相关的临床和分子特征仍不为人所知。
研究人员对接受BVZ-C治疗的结直肠癌患者进行了低覆盖率全基因组测序,并发现了染色体不稳定性在治疗结果中的作用。然而,尚不清楚肿瘤细胞是如何在治疗过程中进化成耐药的。此外,药物耐药性不能完全用遗传因素来解释。据报道,BVZ耐药性与血管生成信号通路的冗余、血管共生和纤维母细胞和髓系细胞的浸润增加密切相关。描述BVZ-C治疗后肿瘤及其微环境(TME)的演变对于理解药物耐药机制至关重要。
肝细胞与肿瘤之间的空间邻近关系导致了获得性耐药
02
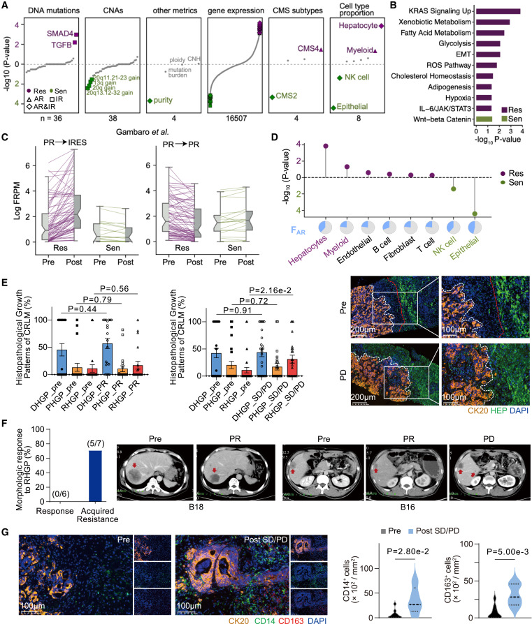
为了揭示IR和AR如何限制治疗效果的分子机制,研究人员开发了一种称为SRFS(基于样本的响应特征选择)的生物标志物检测方法,以解析AR和IR的贡献因素。在对DNA和RNA特征的综合列表上应用SRFS后,研究人员确定了107个与AR相关的显著特征。研究人员观察到,所有基因组特征(包括突变、拷贝数改变(CNAs)、倍性、突变负荷和CNH)均与AR无显著相关性。相反,研究人员发现AR主要依赖于转录组特征。鉴于这些基因在队列中的表达水平与AR之间存在强相关性,研究人员测试了这些基因在先前发表的两例接受奥沙利铂+BVZ治疗的CRLM患者中的表达情况。一致的是,在疾病进展的患者中观察到了耐药相关基因的上调,而对治疗有反应的患者则表现出相反的趋势,这表明这些耐药相关基因对于肿瘤进展很重要。

图1:与AR相关的基因组学和转录组学因素
在对与AR相关的细胞类型进行观察后,研究人员发现,肝细胞和髓系细胞的浸润分别导致了38.5%和23.1%的AR,这指出了肝细胞和髓系微环境可能促进耐药的作用。对CRLM患者的转录组空间数据集的分析也揭示了XELOX治疗后肝细胞浸润的增加和肝细胞与肿瘤细胞之间距离的减小。尤其是,先前的研究证实,与不良BVZ-C反应密切相关的替代病理学生长模式(RHGP),在队列中,AR与肿瘤和肝细胞的空间组织之间存在关联。为了阐明这一关系,研究人员将CRLM分为三种不同的病理学生长模式(HGPs):致密型HGP(DHGP)、推进型HGP(PHGP)和RHGP,这对应于两者之间空间距离的逐渐减小。研究人员利用苏木精-伊红(HE)染色对CRLM样本中的三个HGP进行了定量分析,结果显示,治疗组SD/PD样本中的RHGP模式较基线显著增加,而DHGP和PHGP模式未见显著变化。相反,治疗后PR组在RHGP模式上与基线对照组无显著差异。通过多重免疫荧光(mIF)染色在图1E中对一些样本进行了检查,发现发展为AR的样本中肿瘤细胞与肝细胞之间的距离显著缩短。对比增强计算机断层扫描(CT)图像的评估也显示,疾病进展肿瘤中RHGP的比例高于疾病响应肿瘤。此外,mIF染色证实,与响应基线水平相比,疾病进展肿瘤周围CD14+(单核细胞标记)和CD163+(巨噬细胞标记)细胞的比例显著增加。总之,本数据表明,肿瘤与肝细胞的距离以及升高的髓系细胞丰度可能是BVZ-C疗法诱导AR的潜在机制。
结论
03
在这项研究中,研究人员发现肝细胞-肿瘤空间邻近和增加的髓系细胞浸润是CRLMs对BVZ-C疗法产生耐药的主要原因。尤其是,研究人员证明SMAD4R361H/C是一种遗传标记,为CRC的一线治疗提供了分层基础和治疗靶点,预计GB201联合疗法可以逆转BVZ-C治疗的抗药性。(转化医学网360zhyx.com)
【参考资料】
https://www.cell.com/cell-reports-medicine/fulltext/S2666-3791(24)00609-8
【关于投稿】
转化医学网(360zhyx.com)是转化医学核心门户,旨在推动基础研究、临床诊疗和产业的发展,核心内容涵盖组学、检验、免疫、肿瘤、心血管、糖尿病等。如您有最新的研究内容发表,欢迎联系我们进行免费报道(公众号菜单栏-在线客服联系),我们的理念:内容创造价值,转化铸就未来!
转化医学网(360zhyx.com)发布的文章旨在介绍前沿医学研究进展,不能作为治疗方案使用;如需获得健康指导,请至正规医院就诊。
腾讯登录
还没有人评论,赶快抢个沙发