推荐活动

首次!上海交通大学医学院附属瑞金医院发文:肿瘤微环境促进胃癌发展新机制

首页 » 《转》译 2023-10-22 转化医学网 赞(2)
分享: 
导读
INHBB在各种恶性肿瘤中的重要作用日益得到认可。胃癌(GC)微环境中的潜在机制仍未得到充分探索。

10月19日,上海交通大学医学院附属瑞金医院张军教授等在期刊《Journal of Experimental & Clinical Cancer Research》发表题为“Paracrine activin B-NF-κB signaling shapes an inflammatory tumor microenvironment in gastric cancer via fibroblast reprogramming”的研究论文,研究表明GC细胞p65/INHBB/activin B和成纤维细胞p65/IL-1β信号环导致形成一个促进肿瘤的整个炎症微环境,这可能是GC的有希望的治疗靶点。

图片

https://jeccr.biomedcentral.com/articles/10.1186/s13046-023-02861-4

研究背景

 01 

在全球范围内,胃癌(GC)在癌症诊断患病率方面排名第五,在主要死亡原因方面排名第三。探索基因组调控网络中影响细胞存活的重要基因对于将分子表征转化为有用的临床应用至关重要。由于肿瘤组织细胞及其与微环境的复杂关系影响肿瘤生成和发展的各个方面,基因在调节微环境表型和功能方面所起的作用值得深入研究。

利用公共数据库数据发现,GC中INHBB的上调与患者预后不良相关,其中INHBB相关免疫细胞浸润的变化可能会影响GC患者的预后。然而,INHBB在GC中的确切作用及其对炎症微环境的影响尚不清楚。作为肿瘤微环境中极其重要的部分,癌症相关成纤维细胞(CAF)由位于肿瘤边缘的正常成纤维细胞形成,并通过功能重编程浸润到肿瘤中。因此,CAF通过分泌各种生长因子,细胞因子和趋化因子以及重建细胞外基质(ECM)来重塑肿瘤微环境以影响肿瘤发展。因此,GC中诱导CAF表型的因素及其分子靶点仍有待充分研究。由于激活素B已被证明在多种炎症性疾病和纤维化中具有多效性,因此我们的研究目的集中在INHBB在GC发展中的可能作用及其对微环境串扰的潜在贡献。

研究进展

 02 

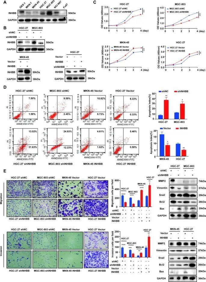
为了探究INHBB对GC进展的影响,我们首先通过qRT-PCR和蛋白质印迹检测了GC细胞系中INHBB的表达,并根据内源性INHBB表达水平选择HGC-27、MGC-803和MKN-45进行功能丧失或获得研究(图2A)。同时,由于INHBA和INHBB之间的同源性,我们使用qRT-PCR分析排除了INHBA在细胞系中的可能影响。结果发现,INHBA在三个选定细胞系中的表达低于GES-1细胞系中的表达。我们通过使用慢病毒shRNA转染构建了INHBB敲低细胞系(HGC-27 / shINHBB和MGC-803 / shINHBB),并使用INHBB扩增的慢病毒转染构建了INHBB过表达细胞(MKN-45 / INHBB和HGC-27 / INHBB)(图2B)。与阴性对照相比,CCK-8测定和集落形成测定显示,INHBB敲低(HGC-27 / shINHBB和MGC-803 / shINHBB)显著抑制细胞增殖,而INHBB过表达(MKN-45 / INHBB和HGC-27 / INHBB)促进GC细胞的增殖(图2C)。细胞凋亡试验显示,在HGC-27/shINHBB和MGC-803/shINHBB细胞系中,早期和晚期凋亡细胞的比例显著增加。相反,INHBB的过表达逆转了这种效应并减少了细胞凋亡的发生(图2D)。此外,Transwell测定还表明,与INHBB高表达细胞相比,INHBB低表达细胞的迁移和侵袭能力受到显著抑制(图2E)。在HGC-27/shINHBB和MGC-803/shINHBB细胞中,促细胞凋亡相关蛋白Bax水平显著升高,而抗细胞凋亡相关蛋白Bcl2和上皮-间充质转化(EMT)相关蛋白基质金属蛋白酶2(MMP2)、Vimentin和Snail水平显著下降。相比之下,MKN-45 / INHBB和HGC-27 / INHBB细胞蛋白水平显示出相反的结果(图2F)。对INHBB与MMP2、VIM和SNAI1之间的mRNA水平进行了相关性分析,表明存在显著的正相关。这些发现表明,INHBB可以通过减少细胞凋亡,增加细胞增殖,迁移和侵袭能力来促进GC的进展。

图片

INHBB在体外促进GC细胞增殖、迁移和侵袭

研究结论

 03 

根据我们的研究,我们提供了INHBB可以促进肿瘤细胞增殖,迁移和侵袭的证据。同时,我们发现激活素B是GC成纤维细胞分化的重要参与者。因此,活化的成纤维细胞创造了一个促肿瘤的微环境,可以通过正反馈回路增加GC的肿瘤生长。

图片

GC 细胞和成纤维细胞之间可促进 GC 进展的 INHBB/NF-kB/IL-1b 正向调节反馈回路的示意图。

总之,我们的研究表明,INHBB在GC细胞和成纤维细胞之间创造了一个促进肿瘤的局部炎症环境,从而为INHBB在GC发生和发展中的作用提供了新的证据(图8K)。我们相信这些发现具有实际意义,这可能会加深我们对INHBB在GC进展和治疗中的作用的理解。(转化医学网360zhyx.com)

参考资料:

https://www.nature.com/articles/s41392-023-01645-8#Sec7

注:本文旨在介绍医学研究进展,不能作为治疗方案参考。如需获得健康指导,请至正规医院就诊。

评论:
评 论
共有 0 条评论

    还没有人评论,赶快抢个沙发


Baidu
map