【Nature】新冠病毒可长期存在!研究发现感染新冠7个月后,身体和大脑中仍有病毒
| 导读 | COVID-19在急性感染严重急性呼吸系统综合征(SARS-CoV-2)期间会导致多器官功能障碍,一些患者出现长期症状,被称为SARS-CoV-2急性后遗症。然而,呼吸道外感染的负担和病毒清除的时间尚未得到明确表征,特别是在大脑中。 |
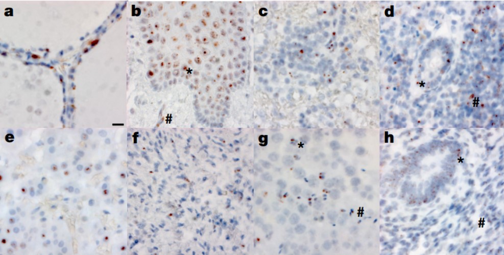
2022年12月14日,美国国立卫生研究院的研究人员在《 Nature》上发表了一篇题为" SARS-CoV-2 infection and persistence in the human body and brain at autopsy "的研究论文。该研究通过对44名新冠死亡患者尸检发现,新冠病毒可在人体多个器官内复制,并持续存在数月,包括大脑,甚至在症状出现后230天也能检测到。
https://www.nature.com/articles/s41586-022-05542-y
研究背景
COVID-19有呼吸道和非呼吸道表现,包括严重、致命性疾病患者的多器官功能衰竭和休克。一些存活下来的人会经历SARS-CoV-2的急性后遗症,也称为长期新冠肺炎。虽然对COVID-19的致命病例的尸检研究支持SARS-CoV-2能够感染多个器官,但肺外器官往往缺乏病毒介导的损伤或炎症的组织病理学证据。呼吸道外没有损伤或炎症的感染的悖论提出了许多与病原体和宿主相关的问题。
研究发现
这项研究提供了迄今为止对SARS-CoV-2在包括大脑在内的人体中的细胞嗜性、定量和持久性的最全面的分析。
研究发现,SARS-CoV-2在一些患者感染早期就开始传播,呼吸道组织的病毒负荷明显高于非呼吸道组织。研究人员证明了症状发作后的前两周在多个非呼吸道部位的病毒复制,并在D14以外的27例病例中的14例中至少在一个组织中检测到亚基因组RNA,这表明病毒复制可能发生在非呼吸组织中数月。而其他人提出,在非呼吸道组织中检测到SARS-CoV-2可能是由于组织内的残留血液或在组织获取过程中肺部交叉感染,我们的数据表明并非如此。具体而言,研究病例中只有12例在死前血浆样本中检测到SARS-CoV-2 RNA,只有2例在血浆中检测到SARS-CoV-2亚基因组RNA,并且在代表性病例的储存外周血单核细胞中检测到的RNA,如果有的话,可以忽略不计。
此外,研究人员通过 ISH、IHC 和 IF 直接在细胞中鉴定病毒,通过细胞培养分离 SARS-CoV-2,以及在非呼吸道部位检测不同的 SARS-CoV-2 刺突序列变异,验证了呼吸道外 SARS-CoV-2 的检测。

病毒在人体和大脑中的分布、量化
除了呼吸道,研究人员还在大脑、心脏、淋巴结、胃肠道、肾上腺和眼睛等不同组织中分离出活的新冠病毒,在55个检测样本中,25(45%)个样本分离出病毒。

研究意义
这项研究结果从根本上提高了对SARS-CoV-2细胞在人体和大脑中的分布和持久性的理解,并为未来开展类似研究提供了强有力的理由,以确定SARS-CoV-2持久性的机制以及SARS-CoV-2急性后遗症。(转化医学网360zhyx.com)
参考资料:
https://www.nature.com/articles/s41586-022-05542-y
注:本文旨在介绍医学研究进展,不能作为治疗方案参考。如需获得健康指导,请至正规医院就诊。
腾讯登录
还没有人评论,赶快抢个沙发