推荐活动

一个女人与时间的赛跑:拆除基因里的定时炸弹

首页 » 研究 » 组学 2018-08-02 DeepTech深科技 赞(4)
分享: 
导读
​2011 年,索尼娅•瓦拉巴(Sonia Vallabh)拿到一份基因检测报告,宣告了她的死刑,但同时也为她提供了生存指南。

2011 年,索尼娅•瓦拉巴(Sonia Vallabh)拿到一份基因检测报告,宣告了她的死刑,但同时也为她提供了生存指南。


瓦拉巴了解到,她的身体存在基因突变,在她的“朊蛋白”基因 DNA 序列上存在一个错误碱基对,最终将会使她患上一种罕见的叫做致命性家族失眠症的脑疾病。一年前,瓦拉巴的母亲就是因为这种病而去世,检测显示瓦拉巴也继承了这一缺陷。


瓦拉巴和她的丈夫埃里克•米尼克尔(Eric Minikel)决定努力阻止这种疾病出现,《纽约客》将他们的故事称之为“朊蛋白爱情故事”,现在他俩的故事可以说是家喻户晓。在诊断出这颗基因定时炸弹后,瓦拉巴和她的丈夫放弃了自己的律师和工程事业,转而成为致力于拆除这颗基因炸弹的科学家。他们预期在明年春天获得博士学位。


七年后的今天,他们认为自己发现了有效的治疗方法。这种药被称为反义药物,它是一种镜像分子,一旦该药物抵达脑部,可大大降低朊蛋白的数量。由此可能阻止错误折叠蛋白发生神秘的链式反应。折叠蛋白是朊蛋白类疾病的重要标志。


瓦拉巴分析道,朊蛋白越少,她患病的几率就越低。


两周前,在博客中瓦拉巴宣布她和米尼克尔正在与一位商业伙伴进行合作,这是一家位于加州名叫 Ionis 的生物科技公司,擅长生产反义化合物。“这是我第一次对某个治疗策略持乐观态度,”瓦拉巴写道。“在我们有生之年”反义药物治疗朊蛋白类疾病还是“有希望的”。


瓦拉巴与时间赛跑阻止自己患上朊病毒的过程向这个基因时代提出了一个有力的问题。给你一份自己遗传病的全面 DNA 蓝图,有生之年,你防止自己或者所爱之人病发的几率有多大?


还是有理由相信,这类医学尝试还是很有可能成功的。这不仅是因为基因测序可以轻松地揭示出分子水平的缺陷,还因为一系列有前景的技术——反义、基因疗法和 CRISPR 基因编辑——能够替代基因或者让基因沉默,从而从根源上有效解决基因问题。


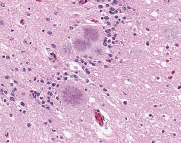
图丨受朊蛋白感染的脑组织特写,朊蛋白是一种错误折叠的蛋白质,对神经元有害。


而且这些治疗方法都运用了基因编码,实际上是由 DNA 或 RNA 组成的。这意味着本质上是分子水平的,可编程的。至少从理论上来说,还是有可能找到基因缺陷,然后迅速制出解药。


而在现实中,药物开发则是出了名地流程复杂。大多数药物都是无效的,要么是生理上出现意外,要么对人体有意外的毒副作用。但瓦拉巴称,在早期她探索困惑的阶段,她收到了来自博德研究所带头人艾瑞克•兰德(Eric Lander)的批评性意见。如今,瓦拉巴和米尼克尔也在博德研究所研究工作。兰德告诉瓦拉巴要关注遗传误差本身——遗传误差的蓝图就在她的诊断中。


“你需要看清自己手里已经攥着的东西,别再一味寻找,”瓦拉巴回忆到他说的话。


这意味着不再等着解答重要的科学未解之谜,像是朊蛋白在人体内会做什么,或者为什么会做某些事情,以及什么时候朊蛋白会错误折叠,什么时候会杀死脑细胞。今年 34 岁的瓦拉巴说道,“关于朊蛋白疾病实在是有太多有趣的问题了,而且即使在我们进行治疗时,这些问题还会一直存在。”


朊蛋白疾病是十分古怪的,因为这类疾病并不是由一种病毒引起,而是由一种受感染的蛋白质引起。这类疾病包括存在于绵羊中的痒病,库鲁病(通过同类相食传播),克雅氏病,人类版的疯牛病。


关于药物的重要观点是根据设计缺失朊蛋白基因的老鼠从来都不会得朊蛋白类疾病,即使科学家将感染的朊蛋白注入老鼠的大脑。“从生物概念上来说,朊蛋白是一种可以改变形态的蛋白质,而且可以像模板一样复制。可以自构模板。这样才能够得以传播,”加州大学旧金山分校实验室的一位研究员库尔特•盖尔斯(Kurt Giles)说道。朊蛋白就是在这里首先被发现的。“由此就产生了要降低(朊蛋白)的想法。朊蛋白越少,模板复制得就越少。”


不过基因疗法有另外一个问题,就是如何进入人体抵达几十亿个脑细胞内。


去年,几十年前就出现的反义技术有了重大的突破,Ionis 公司研发的一种药物证明可以有效治疗一种儿童神经失调症,脊髓性肌萎缩,效果惊人。


那时,瓦拉巴和米尼克尔已经接触到 Ionis 公司,该公司已经同意给他们提供反义化合物,用于在老鼠身上测试朊蛋白基因。Ionis 公司神经科学负责人霍利•科塔西维希兹(Holly Kordasiewicz)回忆起 2014 年的见面。“我们前脚刚出门,就决定要不惜一切代价帮助这些人,”她这样说道。


该公司给瓦拉巴和米尼克尔一个待办事项列表,他们很快就完成了。病人注册?搞定。动物研究?搞定。显示药物是否有效的生物标记?在波士顿一家研究脊髓液朊蛋白水平的医院,该项研究正在进行中。


“索尼娅和艾瑞克做这项研究并没有真正的基金支持,只是想要完成它而已,”另一位介绍他们到 Ionis 公司的科学家杰夫•卡罗尔 (Jeff Carroll)(他已经找到了亨廷顿病的基因突变)说道。


一个没有那么容易解决的问题是,朊蛋白病真的很罕见,而且会迅速致死,很难提前诊断出来。这意味着治疗过程可能不会太引人注意。可能在美国仅有 200 人像瓦拉巴一样知道自己身体内有颗定时炸弹,卡罗尔说道,目前还没有哪一种药物在人体上进行过测试。一开始 Ionis 公司就告诉瓦拉巴夫妇此次合作是严格意义上的学术合作,并非出于商业目的。


通过从根源上清除朊蛋白,反义疗法或许可以帮助治疗一系列与此相关的罕见病症。像疯牛症一样,致死性失眠是十分罕见的,但把这些“超级罕见”的疾病集合在一起,作为一个群体,这些病就不是那么罕见了。


瓦拉巴和米尼克尔表示,现在他们已经有证据表明 Ionis 的反义分子可以在一定程度上保护老鼠不患上朊蛋白疾病。这些获得药物的老鼠寿命延长了约 70%。


如今,科塔西维希兹将该项目称作 Ionis 的“商业”项目,尽管该项目比较小,还处在初期,不适合出现在公司待研发药物的进度表上。“进展是,数据看上去挺好的,我们觉得可以在五年内研发出一种药来,”她这样说道。


瓦拉巴希望可以加快进度。致死性失眠症可能明天就会找上门,也可能是再过 30 年。一切都很难预测。她和米尼克尔刚刚有了第一个孩子,是一个试管婴儿,瓦拉巴说实验室用一种基因测试确保孩子不会携带突变基因。


为了自救,仅仅有药还不够。瓦拉巴需要在她生病之前就开发出药物。然而这么多年来,医生开出基因药物预防疾病的案例实在是太少了。


对瓦拉巴和她的丈夫来说,搞明白如何实施这种研究是他们接下来面临的另一个挑战。似乎他们希望美国食品及药物管理局可以批准在携带朊蛋白突变基因的病人身上进行预防试验。由于通常需要几十年该病才会发作(或许永远都不会),因此该项研究将主要依赖生物标记,如反义注射是否能够减少脊髓液中的朊蛋白水平。


瓦拉巴告诉我,她将自愿尝试该药物。“整体来说,我们的进展比外界预期的快很多,这一切都是因为我们拿到的这份十分清晰的基因蓝图。”(转化医学网360zhyx.com)


评论:
评 论
共有 0 条评论

    还没有人评论,赶快抢个沙发


Baidu
map