推荐活动

Nature子刊:重磅新药可对抗帕金森!“生命的颤抖”或有望终结!

首页 » 产业 » 快讯 2018-07-04 转化医学网 赞(42)
分享: 
导读
帕金森病(PD)是一种常见的神经系统变性疾病,具有高度异质性。不同病人疾病进展的速度不同,目前尚不能治愈。近期,约翰斯·霍普金斯大学的科学家们开发出了一种实验性药物,可缓解帕金森病的症状并延缓其进展!这意味着患者有望终结这种“生命的颤抖”,摆脱帕金森的噩梦!研究人员表示,这种药物名为NLY01,与部分




帕金森病(PD)是一种常见的神经系统变性疾病,具有高度异质性。不同病人疾病进展的速度不同,目前尚不能治愈。近期,约翰斯·霍普金斯大学的科学家们开发出了一种实验性药物,可缓解帕金森病的症状并延缓其进展!这意味着患者有望终结这种“生命的颤抖”,摆脱帕金森的噩梦!



研究人员表示,这种药物名为NLY01,与部分糖尿病药物的结构相似,在人脑细胞和活小鼠模型的实验中,该药物有效阻断了脑细胞的降解,从而缓解了帕金森病的症状。他们指出该药预计将于今年进入临床试验阶段。研究结果以《Block of A1 astrocyte conversion by microglia is neuroprotective in models of Parkinson’s disease》为题发表。


“NLY01对目标神经细胞具有惊人的保护作用,”约翰霍普金斯大学医学院细胞工程研究所主任的Ted Dawson博士解释到,如果NLY01在人类临床试验中获得成功,将是帕金森病患者莫大的福音,因为它针对的将不仅仅是肌肉僵硬、痉挛运动、疲劳、头晕、痴呆等症状,还可以直接阻断帕金森病的进展。


根据研究人员的说法,NLY01可与细胞表面的胰高血糖素样肽-1受体结合,这个过程和与其结构相似的糖尿病药物对2型糖尿病的作用相似。为了证实NLY01的疗效,Dawson团队在人源性星形胶质细胞,小胶质细胞和神经元上测试了NLY01。他们发现小胶质细胞的NLY01的结合位点比其他细胞类型高2倍,而且帕金森病患者NLY01结合位点的使用率是普通人的10倍。


NLY01阻断侵袭性活化星形胶质细胞成熟


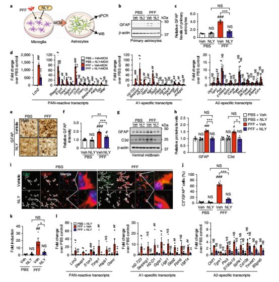
我们知道,小胶质细胞分泌的化学信号可促进星形胶质细胞的成熟,而在帕金森患者大脑中,成熟的是极具侵袭性的活化星形胶质细胞,这种细胞可吞噬大脑神经元间的连接,导致神经元死亡。研究人员指出NLY01可能是通过阻断该过程来对抗帕金森病。


NLY01诱导帕金森小胶质细胞激活信号关闭


在人脑神经元的实验室初步实验中,Dawson团队用NLY01处理了人类帕金森小胶质细胞,发现这些小胶质细胞的激活信号关闭。当这些细胞与健康星形胶质细胞结合时,健康细胞并不会转化为侵袭性活化星形胶质细胞,始终保持健康状态。而且NLY01处理后的细胞还可抑制侵袭性活化星形胶质细胞的活动,为健康神经元构筑了一个防护层,使其不受疾病状态细胞的影响。


NLY01抑制侵袭性活化星形胶质细胞活动


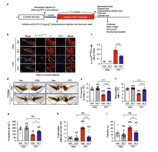
随后,Dawson团队进入了动物实验,他们用NLY01治疗了帕金森小鼠。结果显示用NLY01治疗的帕金森小鼠可维持正常的身体功能,并且没有发现多巴胺神经元的损失,这表明该药物可以预防帕金森病的发展,而且,用NLY01治疗的小鼠大脑中几乎没有出现帕金森病神经退行性病变的迹象。更令人惊讶的结果是,NLY01治疗还延长了20只遗传性帕金森病小鼠超过120天的寿命。


NLY01延长遗传性帕金森病小鼠寿命


但是,Dawson博士警告说,NLY01目前仍属于实验药物,必须进行必要的安全性和有效性测试。但根据其他类似药物的安全性,其在人类帕金森病的治疗中应该可以有令人满意的结果。


参考文献:

1.Experimental drug stops Parkinson's disease progression in mice

2.Block of A1 astrocyte conversion by microglia is neuroprotective in models of Parkinson’s disease


(转化医学网360zhyx.com)


评论:
评 论
共有 0 条评论

    还没有人评论,赶快抢个沙发


Baidu
map