|突破性进展,同济大学发现肿瘤抑制新通路,提供靶向治疗新位点-快讯-转化医学网-转化医学核心门户 - 360zhyx.com,

推荐活动

Nature Medicine|突破性进展,同济大学发现肿瘤抑制新通路,提供靶向治疗新位点

首页 » 产业 » 快讯 2018-05-10 转化医学网 赞(8)
分享: 
导读
研究发现染色质重塑因子ARID1A与MMR蛋白MSH 2相互作用。ARID1A对MMR和突变有调节作用,这可能是其抑瘤作用的原因之一。为扩大SWI / SNF通路突变肿瘤患者免疫检查点阻滞的应用提供了机制基础。


来源:inature


iNature2018年5月7日,华中科技、美国德克萨斯州大学彭广课题组等人在Nature Medicine上在线发表了题为"ARID1A deficiency promotes mutability and potentiates therapeutic antitumor immunity unleashed by immune checkpoint blockade"的文章,该研究发现染色质重塑因子ARID1A与MMR蛋白MSH 2相互作用。ARID1A对MMR和突变有调节作用,这可能是其抑瘤作用的原因之一。为扩大SWI / SNF通路突变肿瘤患者免疫检查点阻滞的应用提供了机制基础。



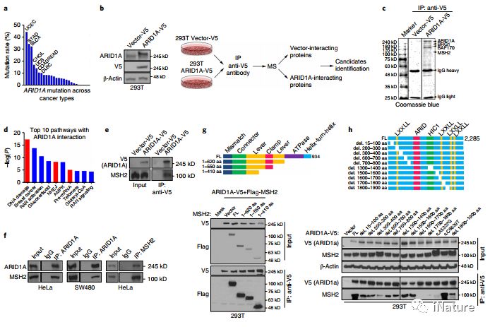
ARID1A(AT-富相互作用域1A,又称BAF250a)是肿瘤中最常见的突变基因之一【1,2】。大多数ARID1A突变都是失活突变,导致ARID1A基因表达缺失【3】,从而使ARID1A成为一个很差的治疗靶点。因此,研究ARID1A缺乏症对ARID1A突变型肿瘤治疗的影响具有重要的临床意义。


ARID1A与MSH2交互


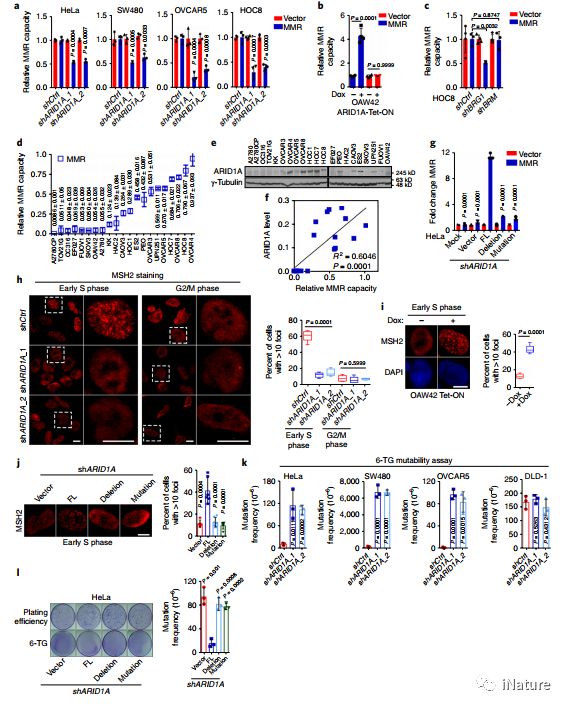
在蛋白质组学中,我们发现ARID1A与错配修复(MMR)蛋白MSH 2相互作用。ARID1A在DNA复制过程中向染色质中吸收MSH 2,促进MMR的产生。反之,ARID1A失活会损害MMR,增加突变。ARID1A缺失与微卫星不稳定性、基因组特征、C>T突变模式和多个人类肿瘤类型突变负荷增加有关。


ARID1A缺陷通过调节MMR来促进可变性


同一基因小鼠ARID1A缺乏的卵巢癌细胞株形成的肿瘤,突变量增加,肿瘤浸润淋巴细胞数增加,pd-L1表达增加。值得注意的是,抗pd-L1抗体治疗可降低小鼠的肿瘤负担,延长小鼠的存活时间,但不能抑制ARID1A野生型卵巢肿瘤的发生。这些结果表明ARID1A缺陷可能导致肿瘤MMR和突变表型受损,并可能与免疫检查点阻断治疗有关。


ARID1A缺陷与MMR缺陷突变表型相关


在本研究中,研究人员发现染色质重塑因子ARID1A与MMR蛋白MSH 2相互作用。ARID1A对MMR和突变有调节作用,这可能是其抑瘤作用的原因之一。与研究人员之前的研究发现一致,先前的研究表明ARID1A突变与肿瘤样本分析中的MSI相关,ARID1A突变与高级别子宫内膜癌【4】的预后相关。免疫检查点封锁是癌症治疗中最有希望的新方法之一。


ARID1A缺陷型肿瘤表现出TIL增加,免疫检查点激活以及对免疫检查点阻断疗法的敏感性


因此,临床迫切需要确定可能受益于特定免疫治疗的分子肿瘤亚型。该研究结果提示ARID1A状态是Pd-1-PD-L1免疫检查点通路抑制剂的潜在预测因子。最近,发现编码SWI / SNF复合物组分的PBRM1突变与免疫治疗的益处有关【5,6】。该研究可能为扩大SWI / SNF通路突变肿瘤患者免疫检查点阻滞的应用提供了机制基础。


通讯作者介绍




个人简历:

彭广,女,华中科技大学,同济医学院附属同济医院肿瘤科教授,博士生导师,美国德克萨斯州大学安德森癌症中心临床肿瘤预防部研究员。研究重点为利用基因组学、蛋白组学和化学方法,将DNA损伤修复机制作为癌症研究的突破点,并利用转化医学途径,将基础研究的成果应用于癌症个体化预防和治疗方法。


研究方向:

DNA损伤修复与肿瘤发生发展


教育工作经历:

1996/09-2002/06,华中科技大学同济医学院临床医学系

2002/09-2005/08,美国南卡罗莱纳大学医学院,生物医学,博士

2005/05-2006/09,美国Fox Chase癌症中心人类遗传学系,博士后

2006/10-2010/02,美国德州大学MD Anderson癌症中心生物学系,博士后

2011/09- 至今 ,华中科技大学,同济医学院附属同济医院肿瘤科,教授


代表学术论文:

1、Shen J, Peng Y, Wei L, Zhang W, Yang L, Lan L, Kapoor P, Ju Z, Mo Q, Shih IeM, Uray IP, Wu X, Brown PH, Shen X, Mills GB, Peng G*. ARID1A Deficiency Impairs the DNA Damage Checkpoint and Sensitizes Cells to PARP Inhibitors. Cancer Discov 5(7):752-67, 7/2015. (IF 19.783)

2、Peng G*, Chun-Jen Lin C, Mo W, Dai H, Park YY, Kim SM, Peng Y, Mo Q, Siwko S, Hu R, Lee JS, Hennessy B, Hanash S, Mills GB, Lin SY*. Genome-wide transcriptome profiling of homologous recombination DNA repair. Nat Commun 5:3361, 2014. (IF 11.470)

3、Peng G*, Dai H, Zhang W, Hsieh HJ, Pan MR, Park YY, Tsai RY, Bedrosian I, Lee JS, Ira G, Lin SY*. Human nuclease/helicase DNA2 alleviates replication stress by promoting DNA end resection. Cancer Res 72(11):2802-13, 6/2012. (IF 8.650)


参考文献


1、Wilson, B. G. & Roberts, C. W. SWI/SNF nucleosome remodellers and cancer. Nat. Rev. Cancer 11, 481–492 (2011).

2、Wu, J. N. & Roberts, C. W. ARID1A mutations in cancer: another epigenetic tumor suppressor? Cancer Discov. 3, 35–43 (2013).

3、Wu, R. C., Wang, T. L. & Shih, Ie. M. The emerging roles of ARID1A in tumor suppression. Cancer Biol. Ther. 15, 655–664 (2014).

4、Allo, G. et al. ARID1A loss correlates with mismatch repair deficiency and intact p53 expression in high-grade endometrial carcinomas. Mod. Pathol. 27, 255–261 (2014).

5、Pan, D. et al. A major chromatin regulator determines resistance of tumor cells to T cell-mediated killing. Science 359, 770–775 (2018).

6、Miao, D. et al. Genomic correlates of response to immune checkpoint therapies in clear cell renal cell carcinoma. Science359, 801–806 (2018).


(转化医学网360zhyx.com)

评论:
评 论
共有 0 条评论

    还没有人评论,赶快抢个沙发


Baidu
map