推荐活动

颠覆认知!儿童最常见软组织癌起源被确定!我们错了N多年......

首页 » 《转》译 2018-01-11 转化医学网 赞(2)
分享: 
导读
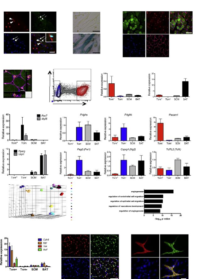
横纹肌肉瘤是儿童中最常见的软组织癌。近日,圣犹大儿童研究医院的肿瘤学家发现了横纹肌肉瘤的真正来源。此前,科学家普遍认为横纹肌肉瘤是由未成熟的肌细胞产生,因为该肿瘤的显微镜下形态结构与肌肉相似。然而,圣犹大研究人员却发现该肿瘤是由一种未成熟的祖细胞恶化而来,而这种祖细胞是血管内皮细胞的前身。

这项由圣犹大儿童研究医院肿瘤科的Mark Hatley博士领导的研究于1月8日在《Cancer Cell》上以《Hedgehog Pathway Drives Fusion-Negative Rhabdomyosarcoma Initiated From Non-myogenic Endothelial Progenitors》为题发表。

Hatley说:“目前,我们仍在使用与46年前相同的化疗方案,结果不尽如人意。了解横纹肌肉瘤的细胞起源将使横纹肌肉瘤的研究更进一步,有助于协助诊断和治疗横纹肌肉瘤。在显微镜下,横纹肌肉瘤的细胞形态与肌细胞相似,因此临床医生认为它们起源于肌肉祖细胞,但这不能解释为什么该肿瘤可能发生在膀胱,前列腺和肝脏等没有骨骼肌的组织中。”

过去,哈佛大学的Andrew McMahon通过基因工程改造了一个生物转换器,这使得研究人员能够选择性地打开Hedgehog通路的关键部分(已知Hedgehog通路的异常激活能够引发癌症)。而得克萨斯州大学西南医学中心的Jonathan Graff利用这个模型来研究Hedgehog蛋白通路在脂肪细胞发育中的作用,出乎预料的是这些动物发生了头颈部肿瘤。此后,Hatley和Graff等人共同合作确定了这些头颈部肿瘤是横纹肌肉瘤。

他们发现横纹肌肉瘤根本不是由肌细胞驱动的所以Hatley和他的团队决定在小鼠的生物学模型上找到这些肿瘤的起源细胞。而实验结果显示,横纹肌肉瘤是由一种未成熟的祖细胞恶化而来,这种祖细胞是血管内皮细胞的前身研究还发现横纹肌肉瘤在患儿发病的早期发展迅速。这一发现提示该肿瘤的发展进程或许在患儿在出生之前就已经开始通过对胚胎阶段的小鼠的研究,研究人员发现小鼠的肌纤维之间的细胞发生爆发性地膨胀,并在发育初期就形成肿瘤了。

除此之外,研究人员还探讨了另一个关键问题:KRAS通路能否引发横纹肌肉瘤?虽然已有其他科学家发现了KRAS通路驱动横纹肌肉瘤的证据,然而,当研究人员在临床前模型中开启KRAS通路时,却形成了血管肉瘤。

Hatley解释说:“这一发现告诉我们,我们模型中的横纹肌肉瘤是由激活的Hedgehog通路引起的,这也表明横纹肌肉瘤可能有多种起源细胞,不同位置的横纹肌肉瘤可能有不同的起源细胞。”

而Hatley和他团队的这项发现:横纹肌肉瘤细胞可促进头颈部肌肉发育。或许可以解释为什么横纹肌肉瘤倾向于发生在头部和颈部。

该研究的肿瘤细胞遗传学研究揭示了它们起源于内皮细胞的证据。Hatley说:“通过回顾这些肿瘤细胞的发展史,我们看到它们保留了内皮细胞发育的重要基因。研究的下一个重要步骤是将这些临床前发现应用于患者,通过分析他们的肿瘤细胞来协助诊断和治疗横纹肌肉瘤。

如果人体横纹肌肉瘤与小鼠具有相同的发展机制,那么这些发现就可以帮助我们提前预估患者对治疗药物的反应。虽然目前的研究肿瘤模型并没有提出新药的靶点,但是如果我们能够确定横纹肌肉瘤的发生机制,那么或许可以找到新的药物靶点。而且这些发现还可能有助于预防遗传性横纹肌肉瘤的药物的研发。”

横纹肌肉瘤并不是真正的肌源性癌症,这一意想不到的发现,可能为寻求癌症细胞起源的相关研究提供更广泛的启示。而Hatley的这项研究结果也告诉我们,不要根据显微镜下的外观或者单凭已表达的基因来预测肿瘤的起源。需要详细了解他们的发育生物学才能下结论。(转化医学网360zhyx.com)

参考资料:

1.Researchers discover that a 'muscle' cancer is not really a muscle cancer

2.Hedgehog Pathway Drives Fusion-Negative Rhabdomyosarcoma Initiated From Non-myogenic Endothelial Progenitors

评论:
评 论
共有 0 条评论

    还没有人评论,赶快抢个沙发


Baidu
map