推荐活动

舌尖上的中国科学家:CRISPR 改造小猪,“口感”更佳哟!

首页 » 研究 2017-10-26 转化医学网 赞(2)
分享: 
导读
在新一期的美国《国家科学院学报》(也即是PNAS)报道了中国科学家所做的一项研究:由赵建国带领的研究团队利用CRISPR/Cas9基因编辑系统,向猪细胞内插入了一段名为解偶联蛋白1(UCP1,一种可以减肥的基因片段)的基因,大大的提高了猪肉的瘦肉率,培育出来的猪比正常的猪肉脂肪降低24%!

一种神奇的小猪:低脂还耐寒

导  读


我们大中华,自以为傲的便是吃货本色。从小龙虾到大闸蟹,生蚝泛滥到中国吃货神兵天降。不说《舌尖上的中国》,单是每个地方的特色都让人垂涎三尺。中国人的一天如果不和吃打交道,那么一天至少要失去大半的色彩。然而我们有想到过吗?高大上的基因编辑,有天也会用到提高二师兄的产量上。


在我们的印象中,我们常常会将CRISPR/Cas9基因编辑系统和一些很高深的东西联系起来。但是这些看起来很高端的技术也是可以为我们大众所服务。


在新一期的美国《国家科学院学报》(也即是PNAS)报道了中国科学家所做的一项研究:由赵建国带领的研究团队利用CRISPR/Cas9基因编辑系统,向猪细胞内插入了一段名为解偶联蛋白1(UCP1,一种可以减肥的基因片段)的基因,大大的提高了猪肉的瘦肉率,培育出来的猪比正常的猪肉脂肪降低24%!


停!在这里,我们先不发表言论,看看《Science》上面的一篇报道怎么看到这件事情。


我们先来看看这一篇报道的标题:


“These gene-edited pigs are hardy and lean—but how will they taste?”



“Lean” may not be the term you associate with a good bacon strip or pork chop. But these leaner, cold-hardier piglets, created through CRISPR gene editing, could be a hit with the pork industry. The threat of hypothermia forces cold-climate farms to invest in heat lamps and other accommodations for their shivering piglets. And fatter pig breeds—though tasty—tend to grow more slowly and consume more feed than leaner ones to produce the same amount of meat. As an alternative to conventional breeding, researchers used the gene-editing technology CRISPR to introduce a gene called UCP1. Thought to have disappeared from the ancestors of modern pigs about 20 million years ago, the gene helps cells dissipate more heat and burn fat. Twelve transgenic piglets endowed with a mouse UCP1 gene were better able to maintain their body temperature than their unmodified counterparts when they were exposed to cold for a 4-hour period, the authors report today in theProceedings of the National Academy of Sciences. And when the pigs were killed, fat made up less of their carcass weight—about 15% versus 20% in unmodified controls—while their average percentage of lean meat increased from about 50% to 53%. Will less fat make them less tasty? The authors don’t expect UCP1 to reduce the fat that accumulates in muscle fibers and contributes to flavor, but they’re now producing more pigs to make sure. 

这篇文章最终关注的重点:肉,到底好不好吃!


看来不论是中国还是美国,吃货的心都是一样的。


那么就让我们一起来看看,赵建国团队到底做了一个什么事情呢?


首先分享一下相关文献的链接:


研究中相关数据:


http://www.pnas.org/content/suppl/2017/10/17/1707853114.DCSupplemental


《Science》报道:


http://www.sciencemag.org/news/2017/10/these-gene-edited-pigs-are-hearty-and-lean-how-will-they-taste


《PNAS》报道:


http://www.pnas.org/content/early/2017/10/17/1707853114


原文doi:doi/10.1073/pnas.1707853114


那么我们接下来,就来正经的讨论一下这篇,让吃货界大吃一惊的研究,到底是怎么回事。


研究的初衷


其实这个研究并不是我们想的那样,一开始就是为了吃。(暴露了内心的想法)


解偶联蛋白1(UCP1)基因负责棕色脂肪组织介导的产热,并在耐寒和调节能量稳态方面发挥关键作用。


经过这么多年的演化,现代的猪普遍缺乏功能性UCP1,从而导致其很容易感冒,易发生脂肪沉积,并且新生的小猪容易死亡,使得生产效率降低。


在本研究中,赵建国研究团队使用CRISPR/Cas9基因编辑系统,将小鼠脂联素UCP1有效插入猪内源性UCP1基因座。从而使得到的UCP1 KI猪可以更好的维持体温,并且可以降低脂肪沉积的同时增加胴体瘦百分比。UCP1 KI猪是猪行业的潜在宝贵资源,可以改善猪的身体状况并且减少经济损失。


是的,继杨璐菡这位女博士将二师兄成功的变为了人体器官供体之后,科学家们又开始为猪的新生儿死亡率担心。


其实,可以看出这个研究的初衷,并不是为了吃,而是为了养猪产业可以更好的发展。


研究过程


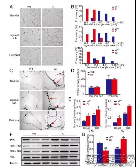
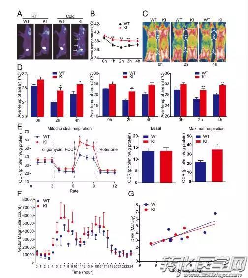
研究的过程是这样的(WT为正常猪,KI为经过基因编辑的猪):



而在这个过程中,研究人员对于猪身体内脂肪的变化进行了分析:



当然,细心的科学家也不忘细心地比较了猪背肉,猪腹股沟(猪大腿)以及腰子(猪肾)的脂肪变化:



我们来张大图看看,猪肉脂肪到底减少了多少:



感觉猪肉变得好紧实!应该会很好吃吧······


当然,这个研究对于养猪行业的改变我们有待观察。对于广大吃货来说,这样养出来的猪,到底好不好吃呢?


我们来分析一下,不同畜肉类中脂肪含量,以100g为标准:


瘦猪肉不等于低脂肪,吃多了,脂肪的摄入量也会提高。那么低脂肪的猪肉会不会影响口感呢?


本文中,作者写道:脂肪率降低24%,也就是四分之一。那么100g中猪肉脂肪含量大概为20g左右(粗略计算),那么口感大概会接近于羊肉的口感,但是却没有羊肉的膻味。感觉会很棒的样子。。。。。。


那么,根据研究来看,这款转基因的猪可以和正常的母猪生育下具备同样耐寒低脂的小猪。那么这样一款猪肉上市之后,你会吃吗?

(转化医学网360zhyx.com)

评论:
评 论
共有 0 条评论

    还没有人评论,赶快抢个沙发

相关阅读


Baidu
map